COVID-19 Patients with “Green Crystals of …” STOP! Please Don’t Call Them That

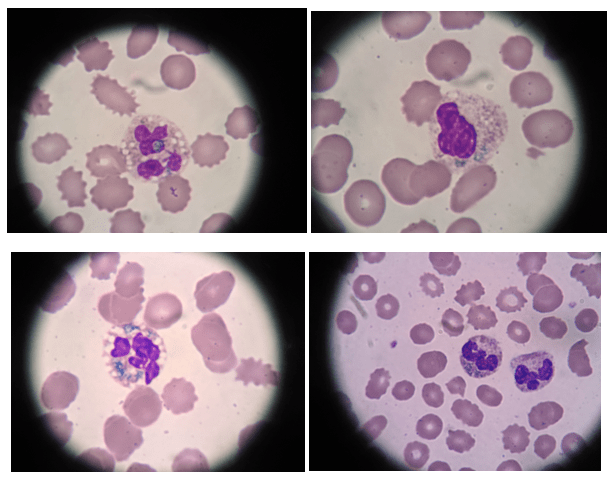
Blue-green cytoplasmic inclusions in neutrophils and monocytes are a novelty in hematology. It is rare to see these inclusions on peripheral smears, and when we do, there is excitement, but sadness too, because, when noted, they usually indicate a poor prognosis and impending death. Thus, we have heard them called “green crystals of death” or “death crystals.” I know I would not want to read a family member’s medical chart and see reference to “death crystals.” It’s an insensitive term, and one the medical community is trying to discourage. And, in fact, though it typically does indicate a poor prognosis, not all cases lead to death. In published reports, it has been shown that short term mortality in patients with these crystals is about 60%.1

These rare inclusions are refractile and irregular in shape, and are found in neutrophils, and occasionally in monocytes. Color seems to be subjective here. They call them green when inclusions in photos or cells I am looking at look very blue to me. The color perceived may depend on the type of stain (Giemsa, Wright or Wright-Giemsa) used and how fancy we get in color names and descriptions. Or, maybe I’m just color blind! Some people (like my husband) are “lumpers” and call anything blue-green, blue, or green, but don’t recognize subtleties of colors. Thus, I guess to make everyone happy, or to compromise, the blue-green description may fit them best.

Image 1. Blue-green inclusions seen in neutrophils. Photos courtesy of Alana D. Swanson. UMMC

These blue-green inclusions were originally reported in patients with hepatic injury and failure. Laboratory results include elevations in AST, ALT and LDH. More recently, there have been cases with no evidence of hepatic injury. Researchers are now finding that these crystals can occur in patients with tissue injury other than liver, and in patients with multiorgan failure. In patients with no liver injury, what is a common factor is that LDH is elevated, indicating tissue injury. Additionally, along with these crystals, lactic acid levels can be used as a predictor of survival. Higher levels of lactic acidosis at the time crystals are noted is a negative predictor of survival.2

In trying to determine the clinical significance of these crystals, they have been subject to a number of different stains to determine their content. The association with hepatic failure led researchers to hypothesize that the crystals were a bile product in circulation. Since then, the crystals have been found to be negative in bile stains. When stained with other stains, Oil Red O showed positive in neutrophils, indicating high lipid content. The inclusions did not stain positive with iron stain or myeloperoxidase. Acid fast stains showed the inclusions to be acid fast positive.3 These crystals also show an interesting similarity to sea-blue histiocytes, which further associates them with tissue injury. After analysis, it is now thought that these crystals contain lipofuscin-like deposits representing lysosomal degradation products, and may be present in multiple types of tissue injury.2

With the current pandemic, I have seen reports of these crystals in COVID-19 patients. I have heard of fellow technologists seeing these, and a recent paper described the first reported cases in patients with COVID-19. These recent incidences may lead to new information about exactly what clinical significance they hold. About one third of COVID-19 patients have elevated ALT and AST, though it is not yet clear whether the liver dysfunction is directly caused by the virus, due to sepsis, or other complications of patient comorbidities. Many COVID-19 patients have mild disease, yet some develop severe pneumonia, respiratory complications, and multiorgan failure. Mortality is increased in these severely affected patients. To better understand and manage treatment for COVID-19, physicians seek to identify biological indicators associated with adverse outcomes.1

In a New York City study, Cantu and colleagues reported on six COVID-19 patients who presented with blue-green crystals in neutrophils and/or monocytes. All six patients had an initial lymphocytopenia, and significantly elevated AST, ALT, LDH and lactic acid at the time the crystals were noted. All of the patients had comorbidities, yet only two of the six presented with acute liver disease. Interestingly, in the six cases reported on in the study, only one had blue-green inclusions reported from the original manual differential. The others were found retrospectively when correlating the cases with patients known to have elevated ALT and AST. All patients died within 20 days of initial diagnosis.1

The consensus of several papers in the last few years is that these crystals are being underreported. As seen in the above study, the crystals were originally seen in just one of the six patients. A look back revealed the other cases. With an increase in COVID-19 cases in our facilities, these blue-green crystal inclusions may be a novelty that is wearing off. We may see a rise in their presence, and need to be able to recognize and report them. This information is important to report if clinicians are to use these crystal inclusions along with acute transaminase and lactic acid elevations to predict poor patient outcomes.

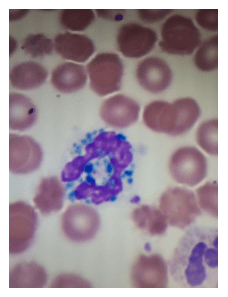
Clinicians, hematologists, and laboratory technologists should be educated and have a high level of awareness of these inclusions. The University of Rochester conducted a study a few years ago that noted that, because these crystals are rare, techs may not be on the lookout for them. Once techs see them, they seem to be on the alert and more are reported. The hospital instituted an “increased awareness” campaign, which resulted in an increase in detection. This revealed cases that were not related to liver injury, including patients with metastatic cancer and sepsis. However, an important correlating factor was that all of the patients had mild to severe elevations in liver enzymes. With more awareness, we are starting to see them in patients without hepatic injury, but with other inflammation and tissue injury.4

Image 2. Blue- green crystal inclusions seen in a patient diagnosed with sepsis and multiorgan failure. Photo courtesy of Karen Cable, YRMC.

Let’s raise our level of awareness of these maybe-not-so-rare crystal inclusions. And, please be sure to call them by their preferred name, blue-green neutrophil inclusions! Let’s not talk about death crystals or crystals of death.

Many thanks to my colleague Alana D. Swanson, MLS(ASCP)CM , University of Maryland Medical Center and Karen Cable, Hematology Section Lead, Yavapai Regional Medical Center, Arizona, for the photos used in this blog. 

References

  1. Cantu, M, Towne, W, Emmons, F et al. Clinical Significance of blue-green neutrophil and monocyte cytoplasmic inclusions in SARS-CoV-2 positive critically ill patients. Br J Haematol. May 26, 2020.
  2. Hodgkins, SR, Jones, J. A Case of Blue-Green neutrophil inclusions. ASCLS Today. 2019;32:431.
  3. Hodgson, T.O., Ruskova, A., Shugg, C.J., McCallum, V.J. and Morison, I.M. Green neutrophil and monocyte inclusions – time to acknowledge and report. Br J Haematol, 2015;170: 229-235.
  4. Patel,N, Hoffman,CM, Goldman,BJ et al. Green Inclusions in Neutrophils and Monocytes are an Indicator of Acute Liver Injury and High Mortality. Acta Haematol. 2017;138:85-90

-Becky Socha, MS, MLS(ASCP)CM BB CM graduated from Merrimack College in N. Andover, Massachusetts with a BS in Medical Technology and completed her MS in Clinical Laboratory Sciences at the University of Massachusetts, Lowell. She has worked as a Medical Technologist for over 30 years. She’s worked in all areas of the clinical laboratory, but has a special interest in Hematology and Blood Banking. When she’s not busy being a mad scientist, she can be found outside riding her bicycle.

A Resident’s Perspective of SARS-CoV-2 Testing Using the Double Diamond Model of Design Process

During the 2019-2020 residency interview season, I “courted” – no better way to describe those interactions over lunch–several potential co-residents, who were eager to know why I came to University of Chicago (NorthShore) for my residency. My answers and those of my fellow residents would help the candidates determine how high they should rank our program, so I enthusiastically recalled things I liked when I interviewed at NorthShore about a year earlier. I had also recently completed my first microbiology rotation in residency and I had enjoyed seeing all of those factors work synergistically to improve patient health outcomes through improved testing. So passionately, I shared how I fell in love with the physical structure of the department which has almost all the labs and offices one floor, the automation of the labs-especially the core and microbiology labs, the capability and regular expansion of its molecular laboratory, the people and of course, “the feel” about NorthShore.

With these experiences, I looked forward to my second microbiology in March 2020, where I would learn more about the diagnostics of various microorganisms–E. coli: Gram negative short stubby/broad shouldered rods vs. Pseudomonas aeruginosa, Gram negative long slender rods, etc. (Un)fortunately, March came, but the novel coronavirus (SARS-CoV-2) had other plans for my learning. Cases of Coronavirus disease 19 (COVID-19), caused SARS-CoV-2[1] were increasing rapidly in the US, so laboratories, including ours had rapidly implement testing. Rather than have morning rounds and other educational activities where the differential diagnoses of several clinically relevant microorganisms were discussed, we had virtual and in-person meetings discussing what to do about one virus. These continued and by the middle of March, we had become the only non-government lab in Illinois and second in the Midwest that had developed a clinical PCR test for SARS-CoV-2. I was excited to be part of that success, but more so, about learning how we achieved that as a team.

Our approach could be summarized using the Double diamond or 4D model of design process which consists of four phases: Discover, Define, Develop and Deliver (Figure 1).

Figure 1. Double diamond or 4D model of design process which consists of four phases: Discover, Define, Develop and Deliver. Plan Do Study Act (PDSA) is an iterative model of quality improvement embedded in the 4D design process.
  1. In the discover phase, a phase of divergent thought [2] and exploration, we identified from events in China and other parts of the world as well as some other states in the US that the community we care for could potentially be affected by the COVID-19 outbreak.
  2. The next phase- define- is a convergent phase where the problem to be solved, as well as the resources available and resources needed to solve it are delineated [2]. As we transitioned from the discovery to define phases-and recalling the 2009 H1N1 influenza outbreak about 10 years ago- it became evident that an epidemic of a relatively fatal respiratory virus which we knew very little about was heading our way. As clinical laboratory professionals, our objective was to help identify members of the community who had been infected through testing so appropriate steps could be taken to sequester and care for them. Among our available resources was our molecular laboratory, but like most laboratories outside the Centers for Disease Control and Prevention, CDC we lacked the reagents, primers and authorization to run the test.
  3. Develop is the next phase in the process and this is a divergent phase where the team explores and refines potential solution to the issues and selects one[2]. This is often followed by the convergent deliver phase where one of the solutions from the develop phase is implemented. Feedbacks which are used for projects are also received during this phase[2]. But, the outbreak continued to evolve rapidly [3] with briskly increasing positivity rates[4] and some of the solutions we considered would require some time to be implemented and/or have long turnaround times. For instance, since we had a roust molecular laboratory, one option was to develop our assays and test in-house, while another was to send the samples to outside labs where they could be run. Running the tests in-house would have a shorter turnaround time and would be more efficient, which is extremely important considering the severity of COVID-19.
  4. Deliver is the last phase of the process.  We decided to develop a SARS-CoV-2 RT-PCR test at our institution, but we also knew we needed to put logistics and protocols in-place to deliver our solution.  For example, COVID-19 presents with flu-like symptoms but flu is common between December and March[5-7] so it would be impractical to expect to test all patients with flu-like symptoms – at least with the limited resources we had. In any case, it was clear that we would not have an ideal amount of time or information to develop and implement the perfect solution. As such, the revolving and fluid nature of the develop and deliver phases of our response is best depicted using the Plan Do Study Act (PDSA), an iterative model of quality improvement. As shown in Fig. 1, we developed and validated our assay, as well as developed an initial protocol for screening patients and logistics for patient-centered delivery in the “Do” step. Importantly, we also reviewed the effectiveness of these operations, and made necessary changes corresponding in the “Study” and “Act” steps respectively.

The prompt decision to implement in-house COVID-19 testing at NorthShore has proven to be the right one. To date we have tested 75,000 specimens and nearly 20,000 tests have been positive. Success which was possible because of the factors which made me come to NorthShore, amongst others. The LEAN, bright and capacious design of the department limits the innate barriers of hierarchical organizational structure; encouraging seamless horizontal and vertical intradepartmental consultation and collaboration as COVID-19 led us into uncharted territory. Also, having a molecular lab that regularly expands its capability made the decision to test in-house relatively easy. In addition, having an automated microbiology lab made it easier for staff to be flexible and deal with the various demands of testing for a new bug in a pandemic. And of course, the people at NorthShore who are ready to volunteer, take up new roles or change shifts to accommodate the demands of a rapidly evolving pandemic, stay in constant communications and provide feedback, and who make everything else at NorthShore work!

References

  1. https://www.who.int/docs/default-source/coronaviruse/situation-reports/20200130-sitrep-10-ncov.pdf?sfvrsn=d0b2e480_2
  2. Council, Design. “Eleven lessons: Managing design in eleven global companies-desk research report.” Design Council (2007).
  3. https://www.cdc.gov/coronavirus/2019-ncov/cases-updates/summary.html
  4. https://www.who.int/docs/default-source/coronaviruse/situation-reports/20200324-sitrep-64-covid-19.pdf?sfvrsn=723b221e_2
  5. https://www.who.int/news-room/q-a-detail/q-a-coronaviruses#:~:text=symptoms
  6. https://www.cdc.gov/flu/symptoms/symptoms.htm
  7. https://www.cdc.gov/flu/about/season/flu-season.htm
  8. Christoff, Patricia. “Running PDSA cycles.” Current problems in pediatric and adolescent health care 48.8 (2018): 198-201.

Adesola Akinyemi, M.D., MPH, is a first year anatomic and clinical pathology resident at University of Chicago (NorthShore). He is interested in most areas of pathology including surgical pathology, cytopathology and neuropathology -and is enjoying it all. He is also passionate about health outcomes improvement through systems thinking and design, and other aspects of healthcare management. Twitter: @AkinyemiDesola

-Erin McElvania, PhD, D(ABMM), is the Director of Clinical Microbiology NorthShore University Health System in Evanston, Illinois. Follow Dr. McElvania on twitter @E-McElvania. 

COVID-19 Testing Explained

By this point I believe we are all tired of reading and talking about COVID. However based on reading comments on social media, it’s quite clear that there are a lot of misconceptions about COVID testing. For starters COVID-19 is the disease caused by the SARS-CoV-2 virus. So all of the tests we are using to assist in the diagnosis of COVID-19 are really looking for signs that the person was infected with SARS-CoV-2. There are also 3 main categories of tests for SARS-CoV-2 based on the target of the assay: RNA, antigen, and antibody.

Diagnosis of COVID-19 should be based on clinical symptoms, risk of exposure, test results and timeline. The diagnostic tests based on detection of SARS-CoV-2 RNA are the most commonly used and reliable for diagnosis of COVID-19.1 All of these assays are based on amplifying the viral RNA to detect the presence of the RNA. Most assays use some form of PCR to amplify the virus, however because the virus is RNA-based it has to be converted to cDNA with reverse transcriptase PCR before amplification and detection. TMA or transcription-mediated amplification is another chemistry that can be used to amplify the RNA to a detectable level. Both PCR and TMA based assays are very sensitive at detecting the virus especially within the first week after symptoms develop.1,2 Due to the RNA-based nature of the SARS-CoV-2 genome, the mutation rate is anticipated to be high. Most of the RNA-based assays have adopted a strategy to target 2 different areas of the viral genome to prevent missing the presence of the virus due to a mutation in the primer binding site.

A SARS-CoV-2 antigen test received EUA in early May. The test is designed with immunofluorescence-based lateral flow. This type of test is designed to detect SARS-CoV-2 proteins present on the outside of the virus. In general, this class of test is cheaper and faster than RNA-based testing however it is less sensitive (80% clinical sensitivity).3 The clinical specificity of antigen assays is shown to be 100%,3 therefore a positive result is reliable. These tests can be used for screening; however patients with negative results may still need to proceed to testing by an RNA-based method. Antigen based tests is typically more sensitive during the same timeframe when PCR testing is more sensitive, ie earlier in the course of disease.

SARS-CoV-2 antibody tests are the last class of tests. Seroconversion appears to occur within 7-14 days of symptom onset2 or 15-20 days post exposure to the virus.4 There are many different tests to choose from to determine if the patient has previously been exposed to SARS-CoV-2. The assays range from lateral flow cassettes to high throughput chemiluminescent based assays. Some of the SARS-CoV-2 antibody assays detect IgG, IgM, IgA or some combination of the 3 including total antibody without differentiating between the three. The latest studies have shown that some patients develop IgM first, some with IgG, and others had both IgG and IgM develop at the same time.5 Therefore differentiating IgG from IgM is not providing a timeline for acute infection as we have seen in response to other viruses. Although sensitivity and specificity vary widely between manufacturers total antibody detection appears to be more sensitive than IgG or IgM detection alone.4 The FDA recently pulled numerous assays off of the market due to poor performance.

It is important to note that even with the most sensitive and specific antibody test, these tests cannot determine if a patient has protective immunity. Unfortunately we don’t know enough about immunity with regards to COVID yet. Early studies are promising, showing that some level of antibody will likely provide protection from future exposure. We don’t know if there is a threshold of antibody that needs to be present before a patient is immune, will the immunity only decrease the severity and not prevent reinfection, and how long the antibodies are maintained after exposure. These will be important questions to answer before the clinical utility of antibody testing can be realized. Right now the test is useful to determine is a patient was previously exposed to SARS-CoV-2 and is helpful to address epidemiological questions with regards to prevalence of COVID-19 in the community. The antibody test should not be used for diagnosis of current infection due to the delay to seroconvert after exposure.

References

  1. Sethuraman, N., Jeremiah, S. S., & Ryo, A. (2020). Interpreting Diagnostic Tests for SARS-CoV-2. JAMA. doi:10.1001/jama.2020.8259
  2. Wolfel, R., Corman, V. M., Guggemos, W., Seilmaier, M., Zange, S., Muller, M. A., . . . Wendtner, C. (2020). Virological assessment of hospitalized patients with COVID-2019. Nature, 581(7809), 465-469. doi:10.1038/s41586-020-2196-x
  3. Quidel Sofia®2 SARS Antigen FIA. https://www.quidel.com/sites/default/files/product/documents/EF1438900EN00_0.pdf 5/29/2020.
  4. Lou, B., Li, T. D., Zheng, S. F., Su, Y. Y., Li, Z. Y., Liu, W., . . . Chen, Y. (2020). Serology characteristics of SARS-CoV-2 infection since exposure and post symptom onset. Eur Respir J. doi:10.1183/13993003.00763-2020
  5. Long, Q. X., Liu, B. Z., Deng, H. J., Wu, G. C., Deng, K., Chen, Y. K., . . . Huang, A. L. (2020). Antibody responses to SARS-CoV-2 in patients with COVID-19. Nat Med. doi:10.1038/s41591-020-0897-1

-Tabetha Sundin, PhD, HCLD (ABB), MB (ASCP)CM,  has over 10 years of laboratory experience in clinical molecular diagnostics including oncology, genetics, and infectious diseases. She is the Scientific Director of Molecular Diagnostics and Serology at Sentara Healthcare. Dr. Sundin holds appointments as Adjunct Associate Professor at Old Dominion University and Assistant Professor at Eastern Virginia Medical School and is involved with numerous efforts to support the molecular diagnostics field. 

Review: Blood Supplies During the COVID-19 Pandemic

When I first thought of writing a blog on blood supplies amid the COVID-19 pandemic, it was early March. Fast forward a couple months and a lot of things have changed. So, where were we, and where are we now?

January 6, 2020

At this time, most people in the US were not even aware of the novel coronavirus. (unless you were taking my Introduction to Human Disease course and were searching online for media articles about infectious disease!)

I first became aware of this ‘mystery’ virus in early January, when I was teaching an online Winter session course called Introduction to Human Disease. I developed this course a number of years ago as a STEM course for non-science majors. The intent of the course is to familiarize students with diseases and disease terminology that they will use in their everyday lives. The course gives students a chance to learn basic medical concepts that will enable them to become their own (or their family’s) medical advocate. In addition, the course covers many diseases that are ‘in the news’ and allows students to gain some knowledge and insight into the myths and facts surrounding these diseases. Topics covered include general mechanisms of disease, including inflammation, infectious disease, immunity, heredity, and cancer. Emphasis is placed on emerging and pandemic …. so, when this disease emerged, we were right there to take note!

I asked the students to find an article in the media on an infectious disease, and to summarize and answer questions about the article and the mechanism of the disease. Three students chose different articles about this yet unnamed mystery illness affecting people in Wuhan, China. We had active discussion board conversations about this emerging severe respiratory disease and pneumonia, that at the time had infected around 40 people, with no reported deaths, and no human to human transmission. In my comments, I compared this novel virus to seasonal influenza, H1N1, SARS and MERS and tried to reassure students that this would hopefully follow the same path as H1N1 or SARS and MERS.

Feb 21, 2020

The first confirmed case in the United States was on Jan 21 in Washington state. (CDC)1 On Jan 31, the Health and Human Services Secretary declared Coronavirus a Public Health Emergency in the US. (HHS.gov)2 We began hearing news of restrictions on flights from China, passengers affected on Princess Cruise ships and outbreaks at a long term care facility in Washington State. 

As a Medical laboratory Scientist, I became concerned with this virus early on, and started watching statistics. I was concerned not only for the health of my family, friends and coworkers, but also for the health or our laboratories and our blood supply.

The first journal articles I read about COVID-19 and blood safety were published in Transfusion Medicine Reviews on Feb 21, 2020. In the very early days of this novel coronavirus, researchers in China reviewed publications about SARS and MERS to help give us a better understanding of SARS-CoV-2, the virus that causes our current pandemic of COVID-19. When discussing blood safety, one of the first things to consider is if the virus is transmittable via blood transfusions. If the virus is transmittable, we also must consider if there is an asymptomatic time when there is virus in the blood. One review stated that SARS, MERS and SARS-CoV-2 can all be found in the serum or plasma, but, at the time of this review, it was still uncertain if SARS-CoV-2 could be transmitted from those with pre-symptomatic or asymptomatic infections.3

March 18, 2020

On March 18, Blood Transfusion published an article written by a group at several Blood Centers in a few provinces in China. This article discussed efforts to minimize the impact of blood shortages due to COVID-19. It was noted that the rising pandemic had had a profound impact on the number of blood donations, and on blood safety. Because it was now recognized that there is a long incubation period and a significant number of asymptomatic cases, this posed a huge challenge in recruiting blood donors. In China, strictly restricted mobility led to a decrease in donations across the country. Donors were recruited through various methods, including the use of social media. Social distancing during blood donations and thorough cleaning and disinfecting of donor areas were enforced. Screening procedures were enhanced to include temporary isolation of blood products for 14 days after collection and delaying release for clinical use. At the same time, donors were followed up until the expiration of the products. If a donor was found to test positive for COVID-19 after donation, the blood products were recalled. These new protocols in place were helping to insure adequate donations and the safety of blood products. ne interesting note is that this article referred to the epidemic as “effectively controlled” and that “normal medical services had been resumed”.4

Meanwhile, in the US, American Red Cross was pleading for blood donors. On March 17 it was reported that 2,700 mobile blood drives had been cancelled at a loss of 86,000 units of blood potentially collected. On March 21, 4 days later, that number had risen to more than 5,000 blood drives canceled at a loss of 170,000 units. As more schools, workplaces, churches and college campuses closed down in response to the pandemic, those institutions had to cancel their blood drives. Social distancing guidelines and shelter in place orders resulted in fewer people donating blood. In addition, an FDA mandate from February, that people who had traveled to areas with COVID-19 outbreaks should wait at least 28 days before donating blood, most likely contributed to the shortage. Dr. Justin Kreuter, from the Mayo Clinic Blood Donor Center, stated that the blood shortage was not due to more COVID-19 patients needing blood products. Rather, “it’s a lack of donations coming in.”5

April 1, 2020

procedures that the Chinese had instated. Mobile blood drives were shut down, but collection centers remained open. TV commercials, radio ads, You Tube videos and social media called for blood donors, assuring them that this was essential and that donating blood was safe. Donations were arranged through appointments only, and potential donors contacted and verbally screened for symptoms and risk factors before appearing to donate. On arrival at the centers, temperatures were taken and travel and symptoms questions were asked before a donor was allowed to enter the center. The use of masks and social distancing, along with extra cleaning and donor chair decontamination between donors were all implemented.

In an effort to open up the pool of potential donors, the FDA reviewed current studies and epidemiological data and concluded that certain donor eligibility criteria could be modified without compromising the safety of the blood supply. On April 2, 2020 the FDA approved several important changes in donor qualifications. These revisions included the following:

  • For male donors deferred for having sex with another male: the recommended deferral period changed from 12 months to 3 months.
  • For female donors deferred for having sex with a man who had sex with another man: the recommended deferral period changed from 12 months to 3 months
  • The deferral period for recent tattoos and piercing was changed from 12 months to 3 months
  • For people who have traveled to malaria-endemic areas, the recommended deferral period was changed from 12 months to 3 months. In addition, the guidance notes that deferral can be waived for these donors, provided the blood components are pathogen-reduced using an FDA-approved pathogen reduction device.
  • For donors who spent time in European countries or on military bases in Europe who were previously deferred due to potential risk of transmission of Creutzfeldt-Jakob Disease or Variant Creutzfeldt-Jakob Disease, the FDA has eliminated the deferrals and these individuals may now qualify to donate.6

Despite loosening requirements, advertising, and calls from the blood centers for additional donors, the shortages remained. To address the decline in blood product availability, it became essential to review the principles of patient blood management (PBM). PBM is defined as “the timely application of evidence-based medical and surgical concepts designed to maintain hemoglobin concentration, optimize hemostasis and minimize blood loss in an effort to improve patient outcome.”7 Firstly, elective procedures were put on hold, thus freeing up units for the most needy patients. Despite this, many blood banks still had their standing orders decreased. In many cases, Blood bank Medical Directors approved changes in transfusion triggers. At the hospital where I work, the transfusion trigger was changed from a hemoglobin of 8g/dL to 7 g/dL. New changes of SOP were approved to issue to all patients, except females of child bearing age, Rh positive units instead of more scarce Rh negative units. We also have a large NICU unit and baby units were not available from ARC, so we were using the newest units available, when necessary for these patients.

By April 8, 15,000 blood drives had been cancelled across the US, at a potential loss of almost 500,000 donated units. One technologist reported in an online Blood bank professionals group, that “Our supplier downgraded us in terms of standard inventory (about 40%), but our transfusion numbers have dropped at least as much.”8 With the decrease in usage and the careful patient blood management, blood needs were met.

May 12, 2020

AABB began sending out a weekly COVID impact survey for hospital transfusion services survey in late March. Many questions on the survey, and the resulting charts and graphs, are related to COVID convalescent plasma practices and procedures (details in my next blog!), but one important graph produced by this survey shows the increase in inventory wastage due to changes related to COVID-19. These changes due to COVID-19 can be a decrease in patients and elective surgeries or changes in transfusion protocols. In early April, in the first few weeks of the survey, 25%-28% of hospitals responding reported an increase in inventory wastage. This corresponds to when donors started coming back to donate, and usage dropped. This percent of hospitals reporting wastage increased each week until the week of May 4-7 when 54% of hospitals reported inventory wastage. This may be due to several factors. The units collected at the end of March and early April, have reached their 42 day expirations. Donors came out initially in response to the call for blood, but now, these units have expired, and it has not yet been 56 days when these donors can donate again. Usage also decreased during this time. COVID patients have not generally had heavy use of red cells, in particular, and doctors have been very conservative in usage with all patients. For the week of May 11-14, as more hospitals are planning to resume elective surgeries, and for the first time in the 8 weeks, fewer hospitals (52.0%) reported an increase in wastage due to changes related to the pandemic. Of the 100 respondents, 59% reported they are resuming “some” elective surgeries before mid-May and 28.0% are doing so after mid-May.9

What does this mean for the future of our blood supply during this pandemic? On May 12, a group of Blood bank professionals, when asked in an informal online survey, had had varying answers. These were likely dependent on location, both geographic and city vs. rural, and size of the hospital. One comment was that “We have gone from huge shortages to throwing away massive units not being used. Hospital is empty.” Another tech said “We were way overstocked a week ago, now we’re dipping way below average.” Technologists in Florida, Oregon and Pennsylvania reported low inventory. Techs in Ohio and Maryland reported their inventory to be very healthy. But these reports could easily vary between areas of the individual state, and even different hospitals in the same city. Another technologist commented “We had a mass of donors when this all started and now all those units are expiring!” The shortage of donors will likely continue, but may relax a bit with some states beginning to lift restrictions. We likely won’t see a huge drove of donors, all at once, which is actually good because it will spread out expiration dates. But, though things may be opening up, it is unlikely that we will see blood drives at schools, workplaces and churches for some time, and this is a huge source of our countries blood supply.

We have seen a big swing in both inventories and usage. After elective and with surgeries have been put on hold for months, we may see an increase over the typical number of elective surgeries, which will mean we will see an increase in blood usage, and with a lack of donors, inventories may drop again.

As far as blood safety, we know now that SARS-CoV-2 did not follow the path of SARS and MERS. We know that it can definitely be transmitted from person to person, and can be transmitted by people who are asymptomatic. But, we also know that, in general, respiratory viruses are not known to be transmitted by blood transfusion. So, from what we know at this time, it is likely not necessary to routinely screen blood products for SARS-CoV-2, and not necessary to isolate blood products after collection and delay release of the products. It is recommended that blood centers encourage self-deferral for donors who have traveled to a COVID-19 affected area or been in contact with an infected person in the past 14 days and to screen donors carefully for fever and respiratory symptoms. With these practices in place, we can ensure an adequate and safe blood supply. We will continue to see swings in volumes, but with careful patient blood management, we will ride these waves and come out on top. Thanks to all our wonderful Blood Bank Technologists who are helping manage our country’s blood supplies!

References

  1. First Travel-related Case of 2019 Novel Coronavirus Detected in United States – CDC, January 21, 2020
  2. https://www.hhs.gov/about/news/2020/01/31/secretary-azar-declares-public-health-emergency-us-2019-novel-coronavirus.html
  3. L. Chang, Y. Yan, L. Wang Coronavirus disease 2019: coronaviruses and blood safety. Transfus Med Rev (2020)
  4. Xiaohong, et al. Blood transfusion during the COVID-19 outbreak, Blood Transfusion (2020)
  5. https://newsnetwork.mayoclinic.org/discussion/critical-blood-shortages-because-of-covid-19/
  6. https://www.fda.gov/media/92490/download
  7. http://sabm.org
  8. Facebook Blood Bank professionals page, May 12, 2020
  9. http://www.aabb.org/advocacy/regulatorygovernment/Documents/AABB-COVID-19-Impact-Survey-Snapshot.pdf

-Becky Socha, MS, MLS(ASCP)CM BB CM graduated from Merrimack College in N. Andover, Massachusetts with a BS in Medical Technology and completed her MS in Clinical Laboratory Sciences at the University of Massachusetts, Lowell. She has worked as a Medical Technologist for over 30 years. She’s worked in all areas of the clinical laboratory, but has a special interest in Hematology and Blood Banking. When she’s not busy being a mad scientist, she can be found outside riding her bicycle.

Laboratory Safety and COVID-19: References You Need to Know

Three months ago, life in the laboratories in these United States carried on as usual, and no one could probably have predicted where we stand today. The COVID-19 pandemic has changed the way laboratorians work everywhere. Some staff have had hours cut because of decreased workloads, other labs worked around the clock to bring new testing on board, and others dealt with staffing shortages due to illness. It has been a wild ride, and through it all, a great many safety issues have arisen. Common lab practices are now viewed through a new lens- is it acceptable to bring hematology slides for review into a clean pathologist’s office? Can we wear surgical masks worn in the lab into the break room? There are many good questions, but some of the answers can be found using references offered from reliable sources. Not everything you read online can be believed, but here are some references that may be necessary and that provide important information.

The pandemic has created a world-wide shortage of PPE, and some have wondered what can be done as resources diminish. The CDC has some good information about calculating how long PPE can be used and how long it can last. There are good guidelines about re-use and extended use of PPE.

PPE Burn Rate Calculator:

https://www.cdc.gov/coronavirus/2019-ncov/hcp/ppe-strategy/burn-calculator.html

Strategies to Optimize the Supply of PPE and Equipment:

https://www.cdc.gov/coronavirus/2019-ncov/hcp/ppe-strategy/index.html

There are specific references regarding respirators and how they should be used.

Respiratory Protection During Outbreaks: Respirators versus Surgical Masks

Understanding the Use of Imported Non-NIOSH-Approved Respirators

Proper N95 Respirator Use for Respiratory Protection Preparedness

Some laboratory disinfectants have become more difficult to purchase. The gold standard for disinfection remains a 10% bleach solution, but there are many other options that can be used as well.

Disinfectants for Use Against SARS-CoV-2 (EPA List N):

https://www.epa.gov/pesticide-registration/list-n-disinfectants-use-against-sars-cov-2

EPA’s Registered Antimicrobial Products Effective Against Human HIV-1 and Hepatitis B Virus:

https://www.epa.gov/pesticide-registration/list-d-epas-registered-antimicrobial-products-effective-against-human-hiv-1

The CDC also offers laboratories a set of COVID-19 guidelines for performing testing, biosafety issues, waste management, and protection against aerosols. These guidelines are thorough, and they can be very helpful should safety challenges arise.

Interim Laboratory Biosafety Guidelines for Handling and Processing Specimens Associated with Coronavirus Disease 2019 (COVID-19):

https://www.cdc.gov/coronavirus/2019-nCoV/lab/lab-biosafety-guidelines.html

Many of these references are updated regularly, so be sure you go to go to the source when making safety policy about COVID-19 tasks.

Laboratorians are now literally on the front lines during this novel coronavirus pandemic. While many public and commercial services have been scaled back, restaurants are closing, and many people are staying or working at home, lab staff are doing their level best to keep coming to work despite the extremely unusual circumstances and hardships.

I am here to serve as well. If you have questions about how to safely navigate this national (and global) emergency while working in the lab, ask me (info@danthelabsafetyman.com). I will do my best to provide any lab safety resources you may need. Make sure the decisions you make during these days are safe, sound, and based on the most recent resources available to you.

Dan Scungio, MT(ASCP), SLS, CQA (ASQ) has over 25 years experience as a certified medical technologist. Today he is the Laboratory Safety Officer for Sentara Healthcare, a system of seven hospitals and over 20 laboratories and draw sites in the Tidewater area of Virginia. He is also known as Dan the Lab Safety Man, a lab safety consultant, educator, and trainer.

Extraction-free and Saliva COVID-19 Testing

Much has changed quickly with SARS-CoV-2 virus (COVID-19) testing. Several commercial options are now available. Labs have less problems getting control material (positive samples are no longer in short supply). And labs that opted to bring on testing are now running multiple versions of COVID-19 molecular tests with a combination of high speed platforms or high throughput. Rapid cartridge tests are used for clearing people from the ED/ removing contact isolation on inpatients while the high throughput assays are used for routine screening.

However, several bottlenecks still exist. There are shortages of nucleic acid extraction kits, collection swabs and viral transport media. Fortunately, some recent studies have demonstrated preliminary evidence for using alternative sample types, collection methods, and storage conditions.

One of the first tenets of molecular diagnostics is isolation and purification of nucleic acid. Therefore, it was surprising to see a report on an extraction-free COVID-19 protocol from Vermont (Bruce EA et al.). This study initially analyzed two patient samples and showed drops in sensitivity of ~4Ct cycles. While this would not be suitable for low level detection, many viral samples have high levels of virus that still would permit detection. The team went on to test this method on 150 positive specimens from the University of Washington and found 92% sensitivity with 35% sensitivity at the low viral load range (Ct value> 30). This was improved with a brief heat inactivation step (Table 1). This was similarly seen in a study from Denmark, where brief heat inactivation of extraction-free methods (Direct) had 97% specificity in 87 specimens (Table 2).

Table 1. Vermont study comparing sensitivity of direct RT-PCR (no extraction step) with the validated results of 150 specimens coming from the University of Washington.
Table 2. Denmark study found extraction-free protocols (Direct) were comparable to extracted RNA (MagNA Pure extraction method) detection in 87 specimens.

Some similar studies out of Chile also showed extraction-free protocols on a larger number of specimens, and they reported a loss in sensitivity varying from 1-7 Ct cycles depending on the primers used.

Figure 1. P1 and P2 are patient 1 and 2. NSS indicates a nasal swab sample where RNA was extracted. RNA indicates a sample with no RNA extraction.

As this novel Coronavirus has an RNA-based genome, RNA is the target of molecular tests. As RNA is susceptible to degradation, there have been concerns over sample storage. Should it be refrigerated? Frozen? How do multiple freeze-thaw cycles impact specimen stability? Are there viable alternatives to viral transport media? One preliminary study explored these questions very nicely. They took X multiple sample types (NP, BAL, saline storage media) and stored them at 20C, 4C, -20, and -70 for multiple days up to 1 week and then analyzed the level of virus detected. In each case, the loss in sensitivity was minimal (<2 Ct cycles from day 0 to day 7) at room temperature with comparable results at lower temperatures (Table 3).

Table 3. Stability of SARS-CoV-2 RNA detected by the Quest EUA rRT-PCR. VCM- viral culture media; UTM-R Copan’s transport medium; M4-microtest media; BAL- bronchoalveolar lavage.

Lastly, alternative sample types such as saliva will help break the bottleneck in swabs and viral transport media. I was surprised to hear about this being a suitable alternative. Having worked with saliva for DNA analysis, I know it can be contaminated, of variable quantity, includes digestive enzymes and is viscous (slimy). These are not characteristics a lab would look for in a specimen type being used for high-throughput testing where several sample failures could occur. But these researchers from Yale showed measurable levels of SARS-CoV-2 that facilitated even higher sensitivity than nasopharyngeal swabs (Wylie AL et al).

Figure 2. SARS-CoV-2 titers are higher in the saliva than nasopharyngeal swabs from hospital inpatients. (a) All positive nasopharyngeal swabs (n = 46) and saliva samples (n = 39) were compared by a Mann-Whitney test (p < 0.05). Bars represent the median and 95% CI. Our assay detection limits for SARS-CoV-2 using the US CDC “N1” assay is at cycle threshold 38, which corresponds to 5,610 virus copies/mL of sample (shown as dotted line and grey area). (b) Patient matched samples (n = 38), represented by the connecting lines, were compared by a Wilcoxon test (p < 0.05). (c) Patient matched samples (n = 38) are also represented on a scatter plot.

With a much-needed increase in testing for this country, optimizations need to be implemented to improve efficiency. These steps alone will not be enough, but if we can have extraction-free testing of saliva collected at home, this would provide a substantial benefit to bringing easy testing to everyone.

UPDATE: Since this was written, the first FDA EUA was authorized for an at-home saliva collection kit for use at the Rutger’s clinical genomics lab (https://www.fda.gov/media/137773/download).

References

Please note: many of these references were on pre-print servers and have not been peer-reviewed.

  1. Bruce EA, Huang ML, Perchetti GA, et al. DIRECT RT-qPCR DETECTION OF SARS-CoV-2 RNA FROM PATIENT NASOPHARYNGEAL SWABS WITHOUT AN RNA EXTRACTION STEP. 2020. https://www.biorxiv.org/content/10.1101/2020.03.20.001008v2.full#T2
  2. Wyllie AL, Fournier J, Casanovas-Massana A, Campbell M et al. Saliva is more sensitive for SARS-CoV-2 detection in COVID-19 patients than nasopharyngeal swabs. medRxiv 2020. https://www.medrxiv.org/content/10.1101/2020.04.16.20067835v1#disqus_thread
  3. Fomsgaard AS, Rosentierne MW. An alternative workflow for molecular detection of SARS-CoV-2 – escape from the NA extraction kit-shortage, Copenhagen, Denmark, March 2020. https://www.medrxiv.org/content/10.1101/2020.03.27.20044495v1.full.pdf
  4. Rogers AA, Baumann RE, Borillo GA, et al. Evaluation of Transport Media and Specimen Transport Conditions for the Detection of SARS-CoV-2 2 Using Real Time Reverse Transcription PCR. JCM 2020.
  5. Beltran-Pavez C, Marquez CL, Munoz G et al. SARS-CoV-2 detection from nasopharyngeal swab samples without RNA extraction. bioRxiv 2020. https://www.biorxiv.org/content/10.1101/2020.03.28.013508v1.full.pdf

-Jeff SoRelle, MD is a Chief Resident of Pathology at the University of Texas Southwestern Medical Center in Dallas, TX. His clinical research interests include understanding how the lab intersects with transgender healthcare and improving genetic variant interpretation.

COVID19 and the Lessons We Learned from Prior Pandemics

With recent criticisms in the media, both foreign and domestic, on the United States’ response to COVID19 as well as accusations and summary conclusions that the United States is not a global health power house nor is it as prepared to handle COVID19 as nations around the world that are plagued by infectious challenges daily, it is important to revisit history of recent pandemics and the prior US responses to them to put the current interpretations of “failing” into perspective.

In 2003, the SARS epidemic began in China with the first possible case documented in November 2002. At the time, US relations with China were such that CDC field offices and CDC field officers, including permanent deploys and temporary lead deploys from central CDC in Atlanta, GA, were available to assist the Chinese healthcare system and government with the response to SARS. Through this effort, statements from CDC field directors such as, “This town is going to have a spike and we need 300 more beds,” was answered by the Chinese with a new hospital being built with 300 beds in less than 3 days. Such transparency, collaboration, and communication were possible at the time but relationships have diminished in recent years. During the SARS outbreak, there were 8,098 patients infected (known by positive testing) and 774 deaths (9.5%) which affected 26 countries including the US; however, the US only had 8 to 27 cases (depending on source) and no deaths. Although the first cases traced back to late 2002, the disease was not sequenced and declared until April 2003, but testing was available shortly thereafter. Control measures locally and globally with some help from testing stifled the pandemic in a matter of weeks and the threat was near zero by the end of 2003. No resurgence has occurred. From this outbreak, the US and the world learned how to deal with novel coronaviruses and how to coordinate and collaborate for future potential outbreaks. Such lessons include the need for transparent communication and direct in country collaboration, rapid move to testing distribution, and high-level knowledge of pandemics and who nations should respond.

In 2009, the H1N1 pandemic began. The CDC activated its emergency system within 7 days of the first case, the US and the WHO declared the pandemic within 9 days of the first case, and testing was available within 14 days of the first case. The US had 60.8 million cases (confirmed positive tests) with 274,000 hospitalizations (0.5%) and 12,469 deaths (4.5% of hospitalizations, 0.02% of cases). The incidence from the disease was due to the rapid respiratory spread very similar to routine influenza but on top of a system (including hospital processes and national approaches to testing with integrated public health laboratory systems) that was prepared and able to nimbly adapt. In this case the rapid advent of testing was crucial to controlling case, getting patients on treatment, and tracking the disease. H1N1 was then subsequently included in the annual influenza vaccines.

From 2012-2014, the MERS-CoV virus, originating from and primarily endemic in the Arabian Peninsula, was a challenge for global heatlh because of the high mortality rate (30 to 40%) and the very efficient spread of the virus. All cases arising outside of the Arabian Peninsula were traced to travelers from that region. The first known cases were in April 2012 with the first recognition of the virus causing the disease in September 2012. The CDC developed a test for MERS in 2012 and subsequently an EUA from FDA was granted on June 5, 2013. The first positive cases of MERS in the US occurred in May 2014, almost 1 year after testing had been available. To date, only 2 confirmed cases of MERS have been diagnosed in the US which were traveling healthcare workers who had treated patients in Saudi Arabia.

The Ebola epidemic in West Africa from 2014-2016 had a total global case count of 27,000+ with 11,000+ deaths (46% mortality). However, in the US only 4 patients were ever diagnosed with EBOLA and 11 patients were treated for EBOLA with only 2 total deaths (18% mortality). Why was the case count so low for the US and why was the mortality nearly a 1/3rd of the overall epidemic? Immediate response from the US government to control incoming patients (the only transmission inside the US was from patients who were travelers to healthcare workers) and availability of testing prior to the outbreak (with the CDC). Nigeria was able to diagnose the first case in Lagos (a traveler from Liberia) because a scientist in Nigeria had developed a rapid EBOLA PCR six months before the outbreak occurred. Nigeria only had 8 deaths from 20 confirmed infections (40% mortality). Why did Nigeria get ahead of the game? Immediate response from government and availability of testing. The unfortunate results in Liberia, Sierra Leone, and Guinea were less about lack of response and lack of testing and mostly due to poor infrastructure for health.

The current pandemic of COVID19 started on November 17th (earliest confirmed case in China) and was a reported disease cluster from China to WHO by December 31st, 2019. The first case in the US was documented to have occurred on January 19, 2020. The FDA, in response to information from central administration and pressure from multiple entities, allowed testing for COVID19 through Emergency Use Authorization (EUA) on February 28, 2020 (more than one month after the first US case). As of April 28, 2020, the US has had 1,026,771 confirmed cases (positive testing) and 58,269 deaths (5.7% mortality) affecting all 50 states in the setting of an unprepared system (i.e., insufficient testing, insufficient pandemic planning at the national level, insufficient in country data from source countries). Data has shown in the laboratory that the SARS-CoV-2 virus shares 74 to 90% genetic homology with the original SARS virus but has a 10-fold increased affinity for binding which suggests that its natural biological virulence could be 10x that of SARS. If proper systems, testing, and planning had been in place, we can conservatively estimate that there would currently be 102,667 confirmed cases in the US and 5,827 deaths. These excess cases and excess death are, therefore, a direct result of the lack of systems, testing, and planning (52,442 excess deaths of US citizens).

There are conspiracy theorists that argue SARS-CoV-2 was created or modified from a different virus by human manipulation with a most recent endorsement of HIV Nobel Prize Laureate Luc Montagnier—statements that were almost immediately refuted by other prominent scientists. If there was a credible threat from SARS-CoV-2 when the sequence was released, that would have been an even more convincing argument that preparation was needed. But the threat of SARS-CoV-2 from just the observed medical cases and initial reports should have warranted a brisk and complete response from leadership. That such responses were delayed because of a multitude of failed responses (pandemic planning, testing, situational awareness, field deployments, etc.) can be argued from now until the next pandemic occurs. But our collective prior experience with pandemics (4 of them in 2 decades) provided plenty of evidence and case-studies for how we should have responded.

ASCP along with other organizations reached out to our membership and the community for support of a call for a National Testing Strategy resulting in tens of thousands of letters to elected representatives and a subsequent plan for a National Testing Strategy released by the US government. The CARES Act released this week includes billions for testing.

These efforts are for our membership who are the medical laboratory professionals working 12 hours shifts to provide the testing needed by their patient populations.

These efforts are for our pathologist members who are informing and controlling hospital and government responses around testing through their rapid decisions and their expertise.

These efforts are for our pathologist’s assistance at all levels who keep anatomic pathology running with our pathology trainees despite massive volume challenges.

These efforts are for our PhD members whose expertise in science, design, and evidence acquisition is rapidly leading to new testing and eventually new vaccines.

These efforts are, most importantly, for our patients, the center of all that we do, to ensure that they have access to testing and the peace of mind they need to move forward from this pandemic.

References

  1. https://www.webmd.com/lung/news/20030411/sars-timeline-of-outbreak#1
  2. https://www.ncbi.nlm.nih.gov/pmc/articles/PMC1904415/
  3. https://en.wikipedia.org/wiki/2002%E2%80%932004_SARS_outbreak
  4. https://www.fda.gov/media/72313/download
  5. https://www.who.int/csr/sars/testing2003_04_18/en/
  6. https://www.cdc.gov/about/history/sars/timeline.htm
  7. https://www.cdc.gov/flu/pandemic-resources/2009-pandemic-timeline.html
  8. https://www.cdc.gov/flu/pandemic-resources/2009-h1n1-pandemic.html
  9. https://www.cdc.gov/coronavirus/mers/about/index.html
  10. https://www.cdc.gov/about/ebola/timeline.html
  11. https://en.wikipedia.org/wiki/Western_African_Ebola_virus_epidemic
  12. https://www.scmp.com/news/china/society/article/3074991/coronavirus-chinas-first-confirmed-covid-19-case-traced-back
  13. https://www.who.int/news-room/detail/27-04-2020-who-timeline—covid-19 https://www.nature.com/articles/s41467-020-15562-9
  14. https://www.worldometers.info/coronavirus/country/us/
  15. https://www.nejm.org/doi/full/10.1056/NEJMoa2001191
  16. https://en.wikipedia.org/wiki/COVID-19_testing
  17. http://www.xinhuanet.com/english/2020-04/21/c_138995464.htm
milner-small

-Dan Milner, MD, MSc, spent 10 years at Harvard where he taught pathology, microbiology, and infectious disease. He began working in Africa in 1997 as a medical student and has built an international reputation as an expert in cerebral malaria. In his current role as Chief Medical officer of ASCP, he leads all PEPFAR activities as well as the Partners for Cancer Diagnosis and Treatment in Africa Initiative.

Love in the Time of COVID-19

Hi everybody—welcome back!

Although you better not have gone too far since last time, self-isolation and social distancing are still critical for us to get through this. Wash those hands, and dust off books and board games. #StrongerTogether (apart), am I right?

Yes, it’s going to be another piece on the current pandemic. It probably will continue to be so until conditions change. So, as your contributor to virology and testing these last two months, I’d like to take a minute to “zoom out” a bit and look at this pandemic in a different way.

It’s highlighting lots of things in healthcare from supply chain, to political regulatory red tape, to the mechanism of deliverables in the United States. And despite the title, I have no romantic epilogues about anything happening in Columbia at the turn of the 20th century. However, very much like the original book’s protagonist, I’d say there are a lot of us in Pathology and Laboratory Medicine alike who are champions of the scientific cause for advancement, education, and positive outcomes. And what better, more fitting of a time to celebrate this cause, than Laboratory Professionals Week 2020!

*** Never forget how vital you all are at every level. Technicians, technologists, medical laboratory scientists, administrators, directors, managers, residents, fellows, faculty, and staff all fit together in a magnificent (but often too unseen) tapestry that makes every patients’ tests results mean something so much more than numbers on a printed report. You’re all lab heroes, we’re all lab heroes. Go make sure you thank some of them this week (or anytime) and a heartfelt thank you to all of you from me as well! ***

In the mere month since I last wrote a piece for Lablogatory, so much has changed with the pandemic as well as my role in local and academic public health efforts. To name a few, I trained with the New York City Medical Reserve Corps as a public health educator early during the pandemic, I was invited to give a lecture on SARS-CoV-2 and COVID-19 testing considerations for lab professionals by the excellent pathologists who run the PathCast series, and I just recently finished a two-day series with an organization called Proceed who are sponsored by the National Center for Training, Support, and Technical Assistance (NCTSTA)—a CDC grant-funded education web series. I’ll mention a little bit about all these things (and of course link you to the material) and talk about how it all fits into what has quickly become a complicated social pandemic response.

NYC-MRC

Almost as soon as I set up shop to start my medical school clerkships and clinical training in New York City, I joined the New York City Medical Reserve Corps—a collection of volunteer healthcare first responders in the event that the city at large ever needed to mobilize every available healthcare personnel during a disaster or health emergency. *Spoilers: turn on the news* At the same time I was prepping some pre-clinical research in infectious disease healthcare and contributing to ASCP’s Choosing Wisely initiatives addressing Hepatitis C testing in vulnerable communities with some of the nation’s highest rates of infection (read the flashback primers I wrote here and here), I was attending NYC-MRC seminars and becoming a nationally certified disaster responder. There have been drills, seminars, and lectures since joining in 2018 but nothing to really contribute to while I moved through clinicals. Welp, clinicals ended, I had a few weeks off for residency interviews, then Kung Pow! Enter the defining viral pandemic of 2020! Smooth sailing lectures became phone network scrambles to see if I obtained my medical license yet since New York’s hospitals were slammed! The last meeting I remember going to was a training on disseminating appropriate information to various levels of practice/professions. I didn’t know it yet, but this became paramount knowledge for me.

Image 1. Throw back from my Instagram (@CEKanakisMD) and one of my first sessions on training to become a disaster responder for the NYC-MRC.
Image 2. The last meeting I attended, and probably the last meeting I’ll have attended while living in Manhattan. Learning some tools, tips, and tricks on effective communication during uncertain times proved invaluable for what was to come. (also from my Instagram @CEKanakisMD)

What Information Matters Most?

So what exactly did I learn? Essentially, it’s nothing groundbreaking or new, but the way you address certain topics matters more than you might realize. I once found myself in a room of mixed level healthcare providers, homeless shelter staff, local public health officials, hospital nurses, and lay people—that’s a broad range of knowledge and practice exposure. If you talk about upregulated ACE-2 receptor expression in intra-viral inflammatory response before full blown ARDS and DAD visible in lung biopsies you’ve lost half the crowd; and if you talk about epidemiology basics like reproductive number (R0), first cases found (FFX), and trace tracking, your provider audience is suddenly looking at their phones. But almost none of them know enough about laboratory testing, regulations, or quality assurance measures—so that became my target, and my bridge to connect everyone. I began collaborating with a friend and colleague Dr. Emeka Ajufo, who matched into his top-choice pain management and rehabilitation (PM&R) residency, and started creating content that connected topics like wellness, one health, and prevention while at the same time understanding deliverables and quality behind lab testing.

Image 3. We’re still in editing and sound production, but we’ve worked together before on podcasts and other content I’ve featured in previous blog posts, like this one! Check out more of Dr. Ajufo’s PM&R work here. (We may or may not be discussing the finer points of adequate nasopharyngeal swab technique here…)

PathCast

So this partnership content got noticed on Twitter (@CEKanakisMD) by the folks that run the PathCast simulcast series on Facebook and YouTube. Dr. Rifat Mannan (@mannanrifat03 on Twitter) from the University of Pennsylvania Hospital and Dr. Emilio Madrigal (@EMadrigalDO on Twitter) from Massachusetts General Hospital have been hosting and promoting a mountain of impressive faculty lectures for all kinds of topics in pathology since 2016. They host them live for viewing across an international audience, take questions, and save each video for future viewers. Their wide and comprehensive hour-a-piece lecture series is enjoyed my many and offers a free, no-hassle viewing experience. I was honored enough to be considered to give a talk on their channel, and after discussing more details with them, it appeared that there was a unique opportunity for some high-value topical information on laboratory and quality testing during this COVID-19 pandemic. If you haven’t heard of this series, you’re missing out. Please go like and subscribe to both their Facebook and YouTube platforms ASAP—you won’t be disappointed!

Image 4. Here’s the title card for my lecture on SARS-CoV-2 and COVID-19 testing considerations for laboratorians. It aired on Friday, April 10th at 8:00 ET and I’m proud to say that it received almost 20,000 individual views from just under 100 countries around the globe. Talk about global pandemic attention and response timing! Got an hour? Check it out here.

What’s a Good Test in a Pandemic?

Excellent question! You’ve probably already heard me talk about this before… This specific question came from discussions on social media with friend, colleague, and fellow ASCP Social Media Committee member Dr. Rodney Rhode (@RodneyRohde on Twitter). If I make it sound like I’ve been busy these last months, Dr. Rhode operates at another level: he’s publishing articles on the pandemic, running laboratory operations, is a research dean and department chair at Texas State, and is disseminating clinical information faster than I could even process it—he’s one of many pathology rockstars in our field! When we spoke before the PathCast series, we talked a bit about the problems in FDA fast-track clearance of all these new tests that would barely make the cut during non-pandemic “peace time.” The Emergency Use Authorization program allows the FDA to push forth tests available for commercial distribution with around 30 or so specimen validations that often don’t break the 60-70% sensitivity/specificity ceiling—yeah, I know. But it’s the best we’ve got and hospitals all over the country are working as hard as they can to bolster their validation studies with more specimens, better controls, modified protocols, and enhanced LDTs (laboratory developed tests) just to meet demand.

Image 5a. Here’s an updated slide from the PathCast talk. The current situation report: 43 commercially available kits, pumped out daily like an overworked approval factory, some are better than others. We’re focused more on molecular/PCR/NAAT for now for its clinical and diagnostic utility. Antibodies will become useful when we discuss “post peak curve” solutions like tracking, vaccines, and therapies like convalescent plasma. What makes a good test in a pandemic? Good laboratory practices.
Image 5b. This is the rapid serology kit that is commercially available but not FDA reviewed, at all. Courtesy of Kelly Swails. I’m not here to name or shame, but this is just one of hundreds of these tests out there. And it’s a definite challenge when those of us in Laboratory Medicine are not part of the process. So caveat emptor/buyer beware—don’t let your lab’s precious time or resources go into snake oils.

There are not enough tests, but there are also too many tests. Just before that PathCast lecture went live, I got an email from our awesome Lablogatory manager and editor, Kelly Swails (@kellyswails on Twitter) about some generic antibody testing kit that people were going nuts over. The problem was on page 6 of the manufacturers’ insert: “this test has not been reviewed or cleared by the FDA.” Well, there’s a problem—and they’re a dime a dozen. Since then, friends, colleagues, and all kinds of inquiries have come my way to ask, “is this a good test?” as people find kits available for purchase… it’s been a mess to say the least. But we laboratorians know: one of our core principles isn’t to let quantity overrule quality, especially when it comes to patient testing. That’s a non-starter.

NCTSTA

Shortly after the PathCast buzz started to settle, one of my MLS grad school classmates who now works with a local public health education and training organization in New Jersey, reached out to see if I could expand the discussion on testing to include problems with access and issues with vulnerable populations. Check and check. Go back and look at some of my posts on Zika and arbovirus work in the Caribbean and you just know I was excited to help! Proceed, Inc. has been a supportive community leader in addressing health and accessibility concerns in their local region and reaching out to form partnerships under the banner of the National Center for Training, Support, and Technical Assistance program (supported by the Centers for Disease Control and Prevention (CDC), Office of Minority Health (OMH), Administration for Children & Families (ACF), and other local entities.)

Image 6. Title card and promotional material for the Proceed/NCTSTA webinar on April 21st, at 2:00p ET with question and answer session and a following day’s meeting called “coffee house chat” where informal discussion and questions were directed at me regarding the topics discussed. It was a fantastic dual session, something I would promote and do again in the future. Unlike the previous hour lecture aimed exclusively at a pathology audience, these attendees came from mixed roles from frontline healthcare workers to government officials in public health and were located all over the US! Here’s the link to the recorded webinar, check it out here.

Who’s Vulnerable?

If you watch the news it’s individuals over 65 years of age and/or anyone with a significant related underlying condition: asthma, COPD, hypertension, etc. And, while that’s true, that’s just the tip of the vulnerability iceberg. Let’s remind ourselves for a minute about the inward and outward concepts of “social determinants of health.” When we want to label a population as vulnerable, or better put, increasingly susceptible to the negative effects of their living conditions in the setting of health care access, we have to think about all the things that contribute to a person’s health: their relationships, their stable/unstable living conditions, level of education, their income/expense ratio, possible language barriers, race/creed/color, disability, addiction, those experiencing homelessness, and concerns for their individual safety to name just a few! Inwardly, should we choose to engage these vulnerable communities we must do so with proper inclusion and a foundation of trust, communication, clarity of purpose, partnership, support, and—arguably most importantly—cultural humility. I also offered the attendees two resources as handouts which are available to you if you attend the recorded webinar as well: one COVID-19 safety factsheet directly from the CDC, and an adaptation of social determinants inventory I designed when my arbovirus team worked on Zika education in Sint Maarten. In truth, we’re all vulnerable in different ways, but when we work together to address gaps in delivery and access we end up #StrongerTogether—and that’s something our laboratory community knows a thing or two about!

Image 7a. Some selected slides from the Proceed/NCTSTA webinar on testing and vulnerability. (51) addresses that “tip of the vulnerability iceberg” that goes beyond physical susceptibility to viral infection, (52) clearly demonstrates that the number of confirmed cases in the 5 boroughs of New York City—the hardest hit location in the United States right now—correlates not only to income/expense ratios, but also people of color, and especially those individuals who can’t leave their work because of the “essential” nature of the service industry. (53) This tense situation between paycheck-to-paycheck workers and depending on employment for insurance is point proven if you look at unemployment claims going back to the 60’s! Notice the dramatic spike of 3.3 million claims this year because of the pandemic! That’s more than any oil embargo, dot-com burst, housing bubble, or recession we’ve ever seen! Finally, in (54) I introduce what I think is a “new” type of vulnerable population: individuals who don’t “buy-in” to the science and medical literacy of the current situation. That’s a whole other blog post folks…
Image 7b. Here it is, my COVID-19 Assessment and Preparedness Inventory Toolkit which incorporates data from FEMA, the CDC, the WHO, previous literature on inciting behavioral changes, and evidence-based best practices for addressing the most vulnerable populations.

The Tipping Point

The $64,000 two-part question: are things getting better or worse, and when will things go back to normal? My 64¢ answer: we don’t really know yet because there’s not enough active current data. The best estimates have case-peaks in places like Manhattan reaching a sort-of plateau as non-emergent hospitalizations, intubations, and COVID-19 cases slow down—but don’t mistake that for a full-on stop. Social distancing and quarantine initiatives in places like New York, Chicago, and other cities are the most effective NPI (non-pharmaceutical intervention) we’ve got. And that’s saying a lot. We have data that suggests previous pandemics had second waves as soldiers came back from war during the 1918 Flu pandemic in the states, so we’ve got to be careful and mindful of what we’re up against. But it’s getting easier and easier to become listless and bored of Netflix and stress-baking. People are getting legitimate cabin fever, although I’d rather we all had that than another, more topical viral illness these days. We’ve got a ways to go with all our frontline work, our NPI distancing, and stratified testing/tracking measures and we have to keep at it, otherwise we’ll undo all the progress we’ve made. And, that “new” vulnerable population, with motivations most certainly rooted in fear and stress, demanding to “reopen” the country since COVID is, after all, a hoax: don’t underestimate their power to tip the scales and send us back. The marriage of policy and politics is a patchy one at best, but efforts from professional advocacy societies like the ASCP are making strides, pushing both at the local and federal levels to demand active and appropriate responses to address proper COVID testing. But things don’t have to be so contentious.

Image 8. “Operation Gridlock”: re-open protestors in Denver, CO come face-to-face with frontline workers like this nurse in the middle of this tenuous mass protest and battle between politics and science. Scenes like this are happening all over the country like in Ohio, Michigan, and more. (Image: NBC news)
Image 9. ASCP has been the definitive forefront in leading the national charge to address our federal response to proper testing guidelines, strategy, and support. Read more about it here.

Fear and Loathing vs. Love in the Time of COVID?

So where does this leave us now? You’ve listened to my litany of testing complexities and considerations for preserving quality of healthcare delivery to all types of patients and you know where I stand on having a passion for preserving the importance and integrity of our professional role as leaders in this field. Do we give in to frustration or keep fighting this pandemic in more, creative ways? The answer, to me, is obvious. We move forward, as always. But most especially, this lab week should be something different because it not only highlights our work as traditionally “behind the scene,” but underscores our critical importance to the delicate house of cards balanced between clinical healthcare, decision making, public health, and public opinion. It’s not only our job to make sure the tests are good (even during pandemics) but that we represent a consistent and reliable message of evidence-based truth for patients and clinicians to rely on—like we always do.

Happy Lab Week 2020. Stay safe, wash your hands, and remember social distancing doesn’t just mean staying at home. It also means integrating compassion into a new routine, and caring for neighbors, colleagues, and friends in new profound ways.

See you all next time!

Image 10. Lab week 2020, ASCP’s Fellowship of the Lab, One Team to Diagnose Them All


-Constantine E. Kanakis MD, MSc, MLS (ASCP)CM is a new first year resident physician in the Pathology and Laboratory Medicine Department at Loyola University Medical Center in Chicago with interests in hematopathology, transfusion medicine, bioethics, public health, and graphic medicine. His posts focus on the broader issues important to the practice of clinical laboratory medicine and their applications to global/public health, outreach/education, and advancing medical science. He is actively involved in public health and education, advocating for visibility and advancement of pathology and lab medicine. Watch his TEDx talk entitled “Unrecognizable Medicine” and follow him on Twitter @CEKanakisMD.

Tips for COVID-19 Testing

Since I last wrote about some testing options available for COVID-19 testing just 1 month ago, many things have changed in the regulatory requirements, and the companies offering testing options. With that in mind along with the fact that things will likely continue to changes, I’ll write to address current and future challenges facing COVID-19 laboratory testing.

  1. What control material can be used?
  2. How can I make specimens safe?
  3. Supply chain issues and solutions.
  4. False Negative results of COVID-19 tests: what to tell clinicians.
  5. Serology Tests: Future Testing and Challenges

Control Material

As the FDA said contrived specimens could be used, that means that RNA can be spiked into a clinical matrix for extraction. While this began with a requirement for genomic RNA, it has been loosened to include plasmid DNA. However, I would caution against using plasmid DNA, because when it is amplified, it can easily cause contamination and unlike RNA, DNA can persist in the environment for a long time. I once hear a story about a lab director who thought they were very careful, but in pipetting, they contaminated the lab in 3 days and it had to be cleaned up for 4 weeks.

We had some issues using in vitro transcribed RNA (of just the N-gene) and genomic RNA, because the recovery was very low. We found out that intact viral particles were better in optimization experiments using control endemic SARS strains (Zeptometrix controls, Table 1). The free RNA Ct values fell sharply (over 1000-fold) when added to Nasopharyngeal (NP) matrix or Viral Transport Media (VTM). However, much lower levels of the encapsulated viral control had consistent levels of amplification.




Table 1. Amplification of free viral RNA vs. viral particles when added to matrix

Therefore, we used a synthetically encapsulated SARS-CoV-2 RNA sample called Accuplex (SeraCare, Figure 1), which gave good recovery and a limit of detection down to 260 copies/ mL (5 copies/ reaction). Alternative similar material that we have not evaluated include: COVID-19 RNA synthesized inside inactivated E coli (Zeptometrix) and Armored RNA (Asuragen).

Figure 1. Schematic of how a synthetically created viral particle occurs

Lab Safety of Specimens

A safety recommendation of the FDA was to perform extraction of samples in a Biosafety level 2 hood. However, high-throughput extraction can’t be easily done this way. For us, we had to prepare samples in the hood then take them to the stand-alone closed system extractor. Our Micro fellow had the creative idea to do “Off-Board” lysis, which would inactivate the virus in the hood before walking it over. We later found that combining lysis with NP matrix before spiking RNA stabilized the RNA for accurate measurement. We were able to find an LOD of 14 copies/ reaction this way.

Some labs have proposed using heat inactivation (~30 minutes at 50-60C) of virus as a safety measure, but the published literature available on how that affects sensitivity is lacking currently.

Supply Chain issues

You have surely heard about all of the new companies that have come out with new testing platforms and assays for COVID-19 testing by now. However, the downside is that unless you already have their instrument, you likely won’t be able to get reagents in time to perform the assay. Even if you do have an instrument, limited resources are necessitating allocation based on high risk areas, so you are likely to receive fewer kits than you would like. Also, the reference labs are still ramping up capacity and are returning results back with long turnaround times currently (~ 1 week). This supports the strategy to bring the testing in-house, so that you can get results back quickly and have control over at least your labs reagent supply. If you have the instrumentation of another FDA approved EUA, you can start performing testing if you follow that protocol exactly- the CDC is the most widely used.

False Negative Tests of COVID-19

This is hard to assess when only one lab testing modality (PCR) is available, but clinicians report negative results in a patient with classic symptoms and a contact history with a COVID-19+ person. Given the impressive analytic sensitivity of the test (generally 1 copy of RNA in 1mL of sample), the likely explanation is that there is a specimen issue. Proper NP sampling requires sticking the swab to the very back of the nasal cavity. Furthermore, this virus may reside more in the lower respiratory track (lungs) and simply not be present in the area sampled. This is why repeat sampling could be helpful. However, the outcome should be the same whether or not you have a negative test: if you have symptoms you should self-isolate unless you require emergent care due to shortness of breath or other symptoms that can’t be managed at home. The lab is familiar with these pre-analytic limitations that can arise, but it is helpful to explain this to clinicians.

Serology Tests: Future Testing and Challenges

Serology can be very helpful as a separate method from qPCR to determine if someone has been infected with SARS-CoV-2. Notice, that is in the past tense. A small (n=9) pre-print study from Nature indicates serologic conversion starts around day 8 or 10 after symptom onset, which often is not in a clinically helpful timeframe. However, these tests are cheaper and easier to perform, so could be useful for epidemiological purposes to determine who has been infected with COVID-19. Early genetic data indicates that the mutation rate is slow (4x slower mutation rate compared to seasonal flu) as one would suspect for RNA-based viruses, so the virus shouldn’t change enough to cause re-infection in someone with sufficient antibody levels.

Figure 2. Scheme of the first COVID-19 antibody test to receive FDA Emergency Use Authorization.

However, several challenges in interpreting these antibody tests include:

  1. Some conflicting data as to how quickly IgM develops relative to the onset of symptoms
  2. What is the time-line for IgG production?
  3. Ruling out cross reactivity with other strains of Coronavirus that cause upper respiratory infections.

References

  1. Wolfel R, Corman VM, Guggemos W et al. Virological assessment of hospitalized patients with COVID-2019. Nature epub ahead of print. https://www.nature.com/articles/s41586-020-2196-x_reference.pdf
  2. Mitchell S, George K et al. Verification procedure for commercial tests with Emergency Use Authorization for the detection of SARS-CoV-2 RNA. American Society of Microbiology
  3. https://www.livescience.com/coronavirus-mutation-rate.html

-Jeff SoRelle, MD is a Chief Resident of Pathology at the University of Texas Southwestern Medical Center in Dallas, TX. His clinical research interests include understanding how the lab intersects with transgender healthcare and improving genetic variant interpretation.

COVID-19 and the Rural Laboratory

When I was approached about writing an essay about our rural lab, I was initially stymied. There’s a universality about the work we do; tech work is pretty much the same wherever you go. A differential is a differential in the biggest cities and smallest towns. The thing that makes us unique is that we’re 50 miles from a city with a full-service hospital and many of our patients are elderly and don’t drive, so we try to cobble together as much care as we can give them in a clinic setting.

Our clinical laboratory is a small independent lab in Cairo, IL, midway between Memphis and St. Louis. We are attached to a regional system of rural clinics that provides care for the residents of the poorest counties in Illinois. We are the only high-complexity FQHC lab in the country, and we’re extremely proud of the work we do with our limited financial and geographical resources.

Our part in battling the COVID-19 pandemic feels a little odd compared to the work of hospital labs. We see our job as keeping our patients out of the overburdened hospitals for as long as possible. We screen everyone who presents with a fever for flu and strep. That includes the prisoners from the two local prisons, the nursing home patients in all the small towns scattered around rural southern Illinois, the teachers, daycare and home health workers. The criteria for a C-19 test is still very stringent in Illinois and most of our patients don’t yet meet it. We generally send them home with free samples of over-the-counter palliative meds, instructions about avoiding other people, and what new symptoms they should watch for.

Even so, we’re running low on basic supplies: PPE, swabs, disinfectant, etc. Like everyone else, we’re having trouble finding more. Yesterday I took a couple of hours to open every cabinet and paw through every box, hunting for overlooked supplies. There was a stash of sixty N95 masks in a closet and forty painter’s masks left over from when the lab was built. The box claims the masks “have N95 properties”…whatever that means. Hopefully we won’t have to find out. I distributed the N95 masks to the clinics that were running low and traded a box of disposable lab coats to our local clinic for 3 hazmat suits for our lab staff. I sent a few dozen more nasopharyngeal swabs to the prison with instructions to use them sparingly. We’re currently backordered until mid-April for more.

All the techs I know (locally and all around the country) are pretty fatalistic about this. We expect to be infected. We’re hoping it’ll be later rather than sooner and we’re trying to protect our more medically fragile and/or elderly colleagues. As you probably know, the average age of MTs in this country is about my age…56. A new virus brings attention to the medical lab profession, and that causes a brief uptick in new interest in our field, but we’re chronically understaffed and techs are retiring faster than we can train new ones to replace them.

In the meantime, of course, we continue to test and treat our regular patients. Mostly poor, mostly elderly, for the diabetes, hypertension, cardiovascular diseases and cancers that are the meat and potatoes of rural health. The concession they’ve made to social distancing is that less of them hug me, although a fair number say “If it’s my time, it’s my time” and hug me anyway. Many of our patients don’t drive, and they arrive one by one on the transit vans designed to seat 12 that pick them up from home. I wonder if the van driver disinfects between patients. I wonder if the patients know he ought to. I assume they hug him, too, so it probably doesn’t matter. This coronavirus crisis will eventually wind down, but the ongoing needs of medically underserved rural communities will continue unabated. Our hope is that this pandemic shines a big light on the many challenges of providing quality care to geographically large, sparsely populated rural communities.

-Evelyn Rubinas is a Medical Technologist at Community Health and Emergency Services, Inc. (CHESI) in Cairo, IL. She is a graduate of Southern Illinois University and the University of Arizona and has been a laboratory generalist for over two decades. She lives in Cairo, IL with her wife and a small menagerie of rescue animals.