Case history
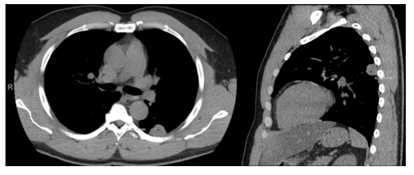
A 40 year old male with a history of cardiomyopathy requiring a left ventricular assist device (LVAD) was seen in clinic with a complaint of pain at the exit site of the LVAD driveline. History is notable for multiple admissions for driveline-associated complications. Despite extensive prior evaluation, cultures and imaging of the driveline exit site had been repeatedly negative with the exception of a methicillin-susceptible Staphylococcus aureus.This was treated with nafcillin, followed by doxycycline for oral suppression. The patient had stopped taking oral antibiotics two months prior to presentation. Imaging revealed a 1.4 cm region around the driveline exit site suggestive of either phlegmon, hematoma, or a developing abscess. Blood cultures and cultures of the driveline exit site were collected and sent to the clinical microbiology laboratory. Upon physical examination, the driveline exit site was tender, but no erythema was noted. The patient endorsed intermittent rust-colored drainage from the site. Blood cultures remained negative for the duration of the patient’s hospital course, and the patient was discharged on nafcillin with plans to transition to doxycycline.
Laboratory identification
The Gram stain of the driveline exit site was unremarkable, with no organisms and few neutrophils seen. Aerobic cultures yielded a light amount of gram positive cocci in addition to mixed skin flora. Colonies were small, and weakly beta hemolytic on blood agar (Image 1A). This organism was catalase- and coagulase-positive, and definitively identified as Staphylococcus aureus by MALDI-TOF MS. Susceptibility testing was performed by broth microdilution, where the organism was determined to be a vancomycin-intermediate Staphylococcus aureus (VISA, MIC=4, Image 1C). Due to the unusual nature of the result, it repeated and confirmed by E-test (Image IB) in our laboratory, and independently verified at our contract reference laboratory. The isolate was also referred to the Texas State Public Health Laboratory where the vancomycin-intermediate phenotype was again confirmed. This isolate was also daptomycin non-susceptible, but remained susceptible to oxacillin, trimethoprim/sulfamethoxazole, linezolid, rifampin, and clindamycin.

Discussion
All models of LVADs require a percutaneous driveline which is a link between the implanted device and the external power source.1In addition to providing power, the driveline also provides controlling and sensing functions for the LVAD.2 The driveline exit site is one of the most common sites of LVAD infection as the driveline creates a conduit for entry of bacteria from the external environment. Additionally, the prosthetic material of the driveline can serve as an ideal substrate for biofilms formation.1 The most common microorganisms associated with LVAD-related infections members of the skin microbiota (i.e. staphylococci), Pseudomonas sp., and enteric bacteria.3
Staphylococcus aureus remains an important human pathogen globally. While antibiotic intervention remains a mainstay of treatment, the emergence of resistance has historically changed the way patients are managed. Mobile genetic elements (including plasmids and transposons) are important mediators of antibiotic resistance in S. aureus, particularly with respect to beta-lactams and glycopeptide antibiotics. Due to the widespread emergence of beta-lactamase conferred penicillin-resistance, semisynthetic penicillinase-resistant penicillins (including methicillin, oxacillin, and nafcillin) were developed for clinical use in the late 1950s. However, resistance to these compounds in S. aureus was reported only a few years following their introduction. Vancomycin became the antibiotic of choice for methicillin-resistant S. aureus (MRSA) therapy in the 1980s, and contemporary management remains largely reliant on this antibiotic despite the recent availability of newer agents from different antibiotic classes.4Thus, vancomycin non-susceptibility among S. aureus isolates is a rare phenomenon with serious clinical implications, with only modest increases in vancomycin MICs resulting in treatment failures.5
The first vancomycin-intermediate S. aureus (VISA) isolate was reported in 1997 in Japan, followed by the first vancomycin-resistant isolate in 2002 in the US.4 It is important to note that the mechanisms driving these two phenotypes are entirely different. The fully vancomycin-resistant phenotype is due to the acquisition of the vanA gene which confers cell wall alterations that prohibit vancomycin from efficiently binding its target. By contrast, the vancomycin-intermediate phenotype remains less well described mechanistically, but VISA strains share similar phenotypic traits. These include: alterations in growth kinetics, increased cell wall thickness, a reduction in peptidoglycan crosslinking, decreased autolysis, altered surface protein profile, and variation of expression levels of global genetic regulators.4,5 These phenotypes are due to mutations and alterations in expression of a number of candidate genes involved in cell wall synthesis, capsule production, and global regulators of virulence.
The emergence of a VISA phenotype is usually found in the setting of MRSA strains that have been treated with prolonged vancomycin therapy.5 However, in this patient’s case, vancomycin had only been utilized infrequently for unrelated infections several years prior. Daptomycin had not previously been used in this patient’s clinical care. This VISA isolate was also oxacillin-susceptible which is a less common finding among reported VISA strains. While exposure of S. aureus to non-glycopeptide antibiotics including beta-lactams can trigger VISA phenotypes in vitro,6 it is currently not possible to elucidate the mechanism underpinning vancomycin non-susceptibility, nor what has driven this resistant phenotype, in this patient’s isolate. The patient currently is doing well on doxycycline suppressive therapy after completing his course of nafcillin, and continues to be monitored through follow-up appointments.
References
- Leuck A-M. 2015. Left ventricular assist device driveline infections: recent advances and future goals. Journal of Thoracic Disease 7:2151-2157.
- Long B, Robertson J, Koyfman A, Brady W. 2019. Left ventricular assist devices and their complications: A review for emergency clinicians. The American Journal of Emergency Medicine 37:1562-1570.
- Zinoviev R, Lippincott CK, Keller SC, Gilotra NA. 2020. In Full Flow: Left Ventricular Assist Device Infections in the Modern Era. Open Forum Infectious Diseases 7.
- McGuinness WA, Malachowa N, DeLeo FR. 2017. Vancomycin Resistance in Staphylococcus aureus The Yale Journal of Biology and Medicine 90:269-281.
- Gardete S, Tomasz A. 2014. Mechanisms of vancomycin resistance in Staphylococcus aureus. The Journal of Clinical Investigation 124:2836-2840.
- Roch M, Clair P, Renzoni A, Reverdy M-E, Dauwalder O, Bes M, Martra A, Freydière A-M, Laurent F, Reix P, Dumitrescu O, Vandenesch F. 2014. Exposure of Staphylococcus aureus to subinhibitory concentrations of β-lactam antibiotics induces heterogeneous vancomycin-intermediate Staphylococcus aureus. Antimicrobial agents and chemotherapy 58:5306-5314.
-Zoya Khan MS, MLS(ASCP)CM is a medical technologist in the clinical microbiology laboratory at UT Southwestern with almost 10 years’ experience. She received a BS in Medical Technology from Texas Women’s University, and an MS in Clinical Practice Management from Texas Tech Health Science Center. She has an active interest in mycology and laboratory assay verification.
Francesca Lee, MD, is an associate professor in the Departments of Pathology and Internal Medicine (Infectious Diseases) at UT Southwestern Medical Center.

-Andrew Clark, PhD, D(ABMM) is an Assistant Professor at UT Southwestern Medical Center in the Department of Pathology, and Associate Director of the Clements University Hospital microbiology laboratory. He completed a CPEP-accredited postdoctoral fellowship in Medical and Public Health Microbiology at National Institutes of Health, and is interested in antimicrobial susceptibility and anaerobe pathophysiology.






























