Microbiology Case Study: An Unconscious 72 Year Old Male

Case History:

A 72 year old man had been complaining of many months of constipation followed by several months of severe diarrhea prior to admission. He did not receive medical care for these symptoms and had no medical history on file. He presented to an outside hospital unresponsive, and an emergent CT showed subcutaneous emphysema and stranding of the lower abdominal tissue extending to the left hemiscrotum. Also noted was irregular wall thickening in the distal rectum. Of note, his family reported that the patient had hit his left scrotum with a power cord recoil a few days prior to presentation. He was transferred to our hospital, where the surgical team reported severe cellulitis and necrosis of the scrotum, perineum, anterior abdominal wall, and upper thighs. Due to his poor prognosis, the family decided to transition his care to comfort measures only and he passed away several hours after presentation. An autopsy was performed, which revealed liquefaction of the subcutaneous tissue in the lower anterior abdominal wall, dusky gray connective tissue of the left testis as well as a small abscess at the superior pole, and a circumferential distal rectal mass.

Laboratory Investigation:

A gram stain of the scrotal abscess and tissue of the anterior abdominal wall both showed mixed gram positive and gram negative organisms. Cultures of these specimens both grew mixed gram positives including alpha hemolytic Streptococcus and coagulase negative Staphylococcus, as well as mixed anaerobes including Bacteroides fragilis group.

gang1
Gram stain of the scrotal abscess showing mixed gram negative and gram positive organisms.
gang2
Histologic section of anterior abdominal wall (400X) showing many polys and many bacterial organisms.
gang3
Chocolate agar plate showing mixed growth.

Discussion:

The case above represents an example of Fournier’s gangrene, a necrotizing infection of the external genitalia and/or perineum. These infections are most often polymicrobial and often include organisms that would not be particularly aggressive by themselves, suggesting a synergy between anaerobic and aerobic organisms. In a large literature review of over 4,000 cases of Fournier’s gangrene, the most common pathogens involved were Escherichia coli, Streptococcus, Bacteroides, Enterobacter, and Staphylococcus. Our case fits well with this profile, consisting of a mixture of gram positives and gram negatives including Streptococcus, Staphylococcus, and Bacteroides fragilis group. Antibiotic coverage in these cases must be broad spectrum and include coverage for aerobes, anaerobes, gram negative and gram positive organisms.

Risk factors for Fournier’s gangrene include diabetes mellitus, smoking, alcoholism, renal failure, hypertension, and coronary artery disease. It is unclear whether the patient in this case had any of these risk factors as he did not routinely seek medical care.

The rectal mass in this case proved to be adenocarcinoma. There have been multiple case reports of Fournier’s gangrene in association with rectal cancer. The theory behind the mechanism of this association is that perforation of the rectal cancer occurs with tumor infiltration of surrounding tissues spreading infectious organisms. It is possible that our case was caused by the patient’s rectal cancer, but it is also possible that the rectal cancer was simply coincidental. The recent trauma to the patient’s scrotum could also have acted as a vector for infection.

The patient in our case presented too late in the course of his disease to receive appropriate treatment, which would consist of broad spectrum antibiotic administration and aggressive debridement. Even with such treatment, the mortality rate of Fournier’s gangrene is quite high, ranging from 5% to 40% in different case series.

References:

Bjurlin MA et al. Causative pathogens, antibiotic sensitivity, resistance patterns, and severity in a contemporary series of Fournier’s gangrene. Urology 2013;81(4):752-8.

Bruketa T et al. Rectal cancer and Fournier’s gangrene – current knowledge and therapeutic options. World J Gastroenterol 2015;21(30):9002-9020.

-Laurie Griesinger is a Pathology Student Fellow at University of Vermont Medical Center.

Wojewoda-small

-Christi Wojewoda, MD, is the Director of Clinical Microbiology at the University of Vermont Medical Center and an Assistant Professor at the University of Vermont.

Microbiology Case Study: A 44 Year Old Woman with Abdominal Tenderness

Case History

A 44 year old woman presented to an outside hospital with a chief complaint of abdominal tenderness and increased abdominal girth over the past few days. Her past medical history was significant for type II diabetes mellitus and associated complications including retinopathy and chronic kidney disease. As a result of her renal failure, she was currently undergoing peritoneal dialysis. Due to concern for infectious peritonitis, a paracentesis was performed and the resulting fluid obtained was sent to the Microbiology laboratory for Gram stain and bacterial culture. Because of difficulty in identifying the isolate, it was sent to our mycology section for further work up.

Laboratory Identification

prowick

Figure 1. Many sporangia of various sizes containing endospores arranged in a “soccerball” like pattern or morula configuration (Lactophenol cotton blue prep, 400x).

 

The isolate was received on potato dextrose agar (PDA) and appeared as discrete cream colored colonies, resembling a yeast. Upon transfer to cornmeal agar and incubation at 30°C, the isolate grew rapidly over the course of two days. The organism did not grow on media containing cycloheximide. A lactophenol cotton blue prep was performed (Figure 1) and showed many sporangia, ranging in size from 4-15 µm. In the larger forms, individual endospores were able to visualized and they were arranged in a “soccerball” like pattern. No budding or hyphae were present. Given these characteristics, the organism was identified as Prototheca wickerhammii.

Discussion

Prototheca wickerhammii is classified as an achlorophyllous algae and is known to cause human infections involving the skin and subcutaneous tissues, bursa of the elbow joint (olecranon bursitis) and rarely, systemic infections. P. wickerhammii is ubiquitous in nature and infection is usually the result from traumatic inoculation. Both immunocompetent and immunocompromised hosts can be affected, although more severe or systemic disease occurs in those who have defects in cell mediated immunity.

Prototheca spp. grow rapidly on PDA after incubation at 30°C for 2-3 days. Initially, it may be confused with a yeast based on plate morphology as they are cream colored and have a yeast-like consistency. When a lactophenol cotton blue prep is viewed under the microscope, sporangia of various sizes are identified (3-30 µm) that contain endospores arranged in a “soccerball” or symmetric daisy like pattern. Size of the sporangia, assimilation tests (such as the API 20C) and automated yeast identification systems (such as the Vitek yeast ID by bioMérieux) are helpful in identifying Prototheca to a species level. Both P. wickerhammii (4-11 µm in diameter) and P. zopfii (9-28 µm in diameter) can cause disease in humans, but P. wickerhammii is more common. While P. wickerhammii has symmetric internal divisions as seen in the above image, P. zopfii has random internal divisions.

The treatment of P. wickerhammii usually includes a combination of surgical management and anti-fungals depending on the site of involvement. For superficial skin infections, localized excision and the use of topical or systemic anti-fungals (azoles and amphotericin B) has been shown to have success. The treatment for olecranon bursitis focuses on bursectomy. In the case of systemic infections, amphotericin B has been the most successful treatment modality. Susceptibility testing is not routinely recommended to guide treatment of initial infections, as studies are few and results don’t always correlate with outcome.

 

Stempak

Lisa Stempak, MD, is an Assistant Professor of Pathology at the University of Mississippi Medical Center in Jackson, MS. She is certified by the American Board of Pathology in Anatomic and Clinical Pathology as well as Medical Microbiology. Currently, she oversees testing performed in both the Chemistry and Microbiology Laboratories.  Her interests include infectious disease histology, process and quality improvement and resident education. 

Microbiology Case Study: A 30 Year Old Male with Painful Right Eye

Case History:

A previously healthy 30 year old man presents with a painful right eye. Three weeks before he had been cutting concrete with an electric saw when a piece of hard concrete hit him in the eye. The eye became painful the following day. He was treated with empiric antibiotics but the eye pain failed to improve. He was eventually seen by ophthalmology, where ophthalmologic exam demonstrated findings suspicious for fungal keratitis. Corneal scraping was performed and sent for bacterial and fungal culture.

Laboratory Identification:

Bacterial culture showed no growth. Fungal culture demonstrated rapid growth of multiple white, cottony molds on potato flake agar. Over time these white colonies turned dark grey/brown. The reverse surface of the agar was white at first but also turned dark grey/brown over time.

Microscopically (scotch tape preparation), there were thin hyphae with single conidia arising directly off the tips of tapered conidiophores of variable length. Occasional conidia were also observed arising directly off of the sides of hyphae. The conidia were small and oval in shape with a truncated base, and somewhat darker as compared to the surrounding hyphae. Sexual forms were not observed.

scedo1
Potato flake agar showing a white, cottony mold with a central dark gray/brown coloration.

 

scedo2
Scotch tape preparation demonstrating thin hyphae with single oval-shaped conidia with truncated base. The conidia are small and have a “sperm-like” or “tadpole-like” morphology.

Discussion:

The clinical history and laboratory findings are characteristic of Pseudallescheria boydii/Scedosporium apiospermum.

Pseudallescheria boydii/Scedosporium apiospermum is an environmental mold which can be isolated from rural soils, polluted waters, manure and compost. Infection occurs secondary to local trauma. In immunocompetent individuals, infection is limited to the site of trauma, with some of the more common presentations being fungal keratitis, endophthalmitis, eumycotic mycetoma, sinusitis and pneumonia in the setting of near drowning. In immunocompromised individuals, infection can disseminate and involve any organ.

Pseudallescheria boydii/Scedosporium apiospermum is the most common cause of eumycotic mycetoma. Mycetoma is a chronic granulomatous infection of the subcutaneous tissue, usually involving the distal lower extremities, which can be caused by either a fungus (eumycotic mycetoma) or an actinomyces species bacteria (actinic mycetoma). On clinical exam there are multiple draining sinus tracts. The causative microorganisms aggregate into macroscopically visible groups (“granules”) which can be white, yellow or brown in color. Mycetoma may progress over time to involve underlying soft tissue, muscle, fascia and bone. Other less common causes of eumycotic mycetoma include Madurella spp., Acremonium spp., Fusarium spp., and Curvularia spp.

This organism has two names because historically different names were assigned to the sexual state (Pseudallescheria boydii) and to the asexual state (Scedosporium apiospermum). Morphologically, Pseudallescheria and Scedosporium are identical, the only difference being the presence of the sexual form, cleistothecia, in Pseudallescheria. Cleistothecia, when present, can be recognized as very large, dark-brown asci containing numerous ascospores. Technically, in the absence of cleistothecia the correct diagnosis would be Scedosporium boydii, however in clinical practice both names are usually listed regardless of whether cleistothecia are seen.

Pseudallescheria boydii/Scedosporium apiospermum is resistant to amphotericin B, but should be susceptible to azole therapy. The patient is being treated with topical voriconazole and oral fluconazole and currently (two weeks of antifungal therapy) has near complete resolution of symptomatology.

-Javier De Luca-Johnson, MD is a 3rd year anatomic and clinical pathology resident at the University of Vermont Medical Center.

Wojewoda-small

-Christi Wojewoda, MD, is the Director of Clinical Microbiology at the University of Vermont Medical Center and an Assistant Professor at the University of Vermont.

 

Microbiology Case Study: A 59 Year Old Woman with Systemic Sclerosis, Cough, and Shortness of Breath

A 59 year old woman with systemic sclerosis and history of lung transplant with chronic allograft rejection presented to the hospital for progressive dysphagia and acute kidney injury necessitating dialysis. She continued her home drug regimen: immunosuppressives such as prednisone, tacrolimus, and mycophenolate as well as antibiotic prophylaxis consisting of itraconazole, trimethoprim-sulfamethoxazole, and azithromycin. Six days later she began to experience increased sputum production with a cough and shortness of breath. Repeat chest x-ray showed persistent bilateral pleural effusions and lower lobe opacities consistent with a chronic inflammatory process but could also represent infection. A sputum culture was obtained and she was started on a course of levofloxacin.

Laboratory identification:

Gram stain of the sputum revealed moderate PMNS with abundant gram positive bacilli that appeared coryneform. The organism grew well on blood and chocolate agar, presenting as non-hemolytic white-gray moist smooth colonies.

Gram stain revealing numerous Gram-positive bacilli, some in pairs with characteristic "V" formation seen in coryneform bacteria
Gram stain revealing numerous Gram-positive bacilli, some in pairs with characteristic “V” formation seen in coryneform bacteria
Creamy, white-to-gray colonies on blood agar
Creamy, white-to-gray colonies on blood agar

MALDI-TOF revealed Corynebacterium striatum.

Discussion:

Until the past fifteen to twenty years it was believed that Corynebacterium striatum and many other non-toxigenic species of the Corynebacterium genus were almost always avirulent. C. striatum is typical of human skin and nasopharyngeal flora and most coryneform species were largely ignored with the exceptions of the toxigenic strains such as C. diphtheriae, C. ulcerans and C. pseudotuberculosis. However, the incidence of serious C. striatum infections has been rising and is attributed to the prolonged survival of patients in immunocompromised states, patients with chronic lung disease such as COPD and cystic fibrosis, and the increasing use of indwelling medical devices such as infusion ports, dialysis catheters, and joint prostheses. More and more cases of endocarditis and respiratory infections have been attributed to C. striatum and with repeated and prolonged hospital stays; frequent patient exposure to broad-spectrum antibiotics create ample opportunity for C. striatum to cause outbreaks of nosocomial infections.

However, there is still little evidence to suggest how C. striatum is actually transmitted and how it can adapt. It is left to the microbiology lab to decide whether its presence in culture represents an actual infection and coryneform bacteria are difficult to speciate on the basis of biochemical testing alone. Most importantly, a culture from a true C. striatum infection should grow out pure or predominant colonies. They are aerobic Gram positive bacilli related to Mycobacteria and Nocardia with a characteristic appearance on Gram stain: often pleomorphic, slightly curved with clubbed or tapered ends, and cells may occur singly or in pairs in what is often dubbed “Chinese letter” formation. Toxigenic forms of Corynebacterium are catalase positive (as is C. striatum) but many species are catalase negative. Unlike the toxigenic species, C. striatum is pyrazinamidase positive. Urease and nitrate are also useful but many species overlap in their biochemical testing characteristics and in order to truly name the species it is recommended that MALDI-TOF mass spectrometry be used which has been shown in several studies to be an accurate test for coryneform species identification.

-Dwight Parker is a 4th year medical student at the University of Vermont College of Medicine.

Wojewoda-small

-Christi Wojewoda, MD, is the Director of Clinical Microbiology at the University of Vermont Medical Center and an Assistant Professor at the University of Vermont.

Microbiology Case Study: 25 Year Old Male with a Sore Throat

Case:

A 25 year old male presents to the Emergency Department with a right sided sore throat for the past 3 days which radiates to the right ear. Upon arrival, he was experiencing spasms in his jaw muscles and was unable to open his mouth fully. His past medical history is significant for recurrent peritonsillar abscesses (x5) and sexually transmitted infections (N. gonorrhea and C. trachomatis). He is a current smoker and is sexually active with male partners. Review of systems shows a 10/10 sharp, right sided throat pain, difficulty swallowing, ear pain and shortness of breath. He denies fever, chills, rhinorrhea, neck pain, voice changes and cough. He is currently afebrile and all vitals are within normal limits. His right tonsil is swollen and erythematous, though no petechiae or exudates are seen. His uvula is midline and there is no drooling or “hot potato” voice. Tender cervical lymphadenopathy is present. A rapid strep and HIV testing are negative. A neck CT scan demonstrates a 2.2 cm peritonsillar abscess. An incision and drainage is performed by ENT. Three milliliters of purulent fluid was collected and sent to the Microbiology laboratory for Gram stain and bacterial culture.

Laboratory identification:

Bacterial culture of the purulent fluid grew small, beta hemolytic colonies after 48 hours of incubation at 35°C. A Gram stain of the colonies showed small Gram positive rods. Biochemical reactions were negative for both catalase and PYR. Arcanobacterium haemolyticum was identified by MALDI-TOF and confirmed with an API Coryne strip. The Streptococcus DNA probe, which is performed on all negative rapid strep results, was also appropriately negative.

arcano1
Figure 1. Growth of small, dull colonies with a relatively narrow zone of beta-hemolysis on sheep blood agar after 48 hours in a CO2 incubator at 35°C.
arcano2
Figure 2. Gram stain of the isolate from bacterial culture showing small Gram positive bacilli (100x oil immersion).

 

Discussion:

Arcanobacterium haemolyticum is a facultative Gram positive bacillus, formerly known as Corynebacterium haemolyticum, which was first characterized in 1946 after being isolated from U.S. service members serving in the South Pacific who developed pharyngitis and a skin rash. A. haemolyticum is most commonly implicated in acute pharyngitis in humans where it is accompanied by cervical lymphadenopathy, tonsillitis, and a rash on the extremities and truck that may be confused with the rash of scarlet fever in 20-25% of cases. The infection usually occurs in patients between 15 and 30 years old. Other infections in which A. haemolyticum has also been implicated include wound & soft-tissue infections, sinusitis, and rarely in cases of osteomyelitis, endocarditis, and meningitis.

A. haemolyticum can be recovered in the clinical laboratory, but it may be missed on throat culture specimens if they are not held for 48 hours or the subtle hemolysis in the first or second quadrants of the culture plate is not observed after overnight incubation. It can also be easily misclassified as non-group A streptococcal species unless close attention is paid to the Gram stain and biochemical test results. Similar to Group A Streptococcus, A. haemolyticum is catalase negative. However, on examination of the Gram stain, A. haemolyticum is a Gram positive rod and the PYR reaction is negative whereas the Gram stain of Streptococcus pyogenes is Gram positive cocci arranged in pairs and chains and PYR positive. Another helpful test in the identification of A. haemolyticum is that it is reverse CAMP test positive. This feature is exhibited due to the fact the phospholipase in A. haemolyticum inhibits the effect of the beta hemolysin of Staphylococcus aureus when they are arranged perpendicular to each other in streaks.

In general, A. haemolyticum is susceptible to penicillin, cephalosporins and vancomycin. Resistance to trimethoprim-sulfamethoxazole is common and rare cases of resistance to tetracyclines, macrolides, clindamycin and ciprofloxacin have been described. As for our patient, he was discharged home on a ten day course of Augmentin and scheduled for tonsillectomy due to his history of recurrent peritonsillar abscesses.

 

DM

-David Marbury, MD, is a 2nd year Anatomic and Clinical Pathology resident at the University of Mississippi Medical Center.

Stempak

-Lisa Stempak, MD, is an Assistant Professor of Pathology at the University of Mississippi Medical Center in Jackson, MS. She is certified by the American Board of Pathology in Anatomic and Clinical Pathology as well as Medical Microbiology. Currently, she oversees testing performed in both the Chemistry and Microbiology Laboratories. Her interests include infectious disease histology, process and quality improvement and resident education.

 

Microbiology Case Study: A 47 Year Old Male with Abdominal Pain and Diarrhea

A 47 year old male of Jamaican origin with no known past medical history presented to a clinic with abdominal pain and diarrhea. He has been working as a seasonal farmer and plans to return back to Jamaica by the end of the month. Stool samples were obtained and sent for culture and ova and parasite exam.

Rhabditiform larvae of Strongyloides stercoralis from the wet mount of O&P exam
Rhabditiform larvae of Strongyloides stercoralis from the wet mount of O&P exam
Blood agar plate demonstrating tracks made by crawling larvae
Blood agar plate demonstrating tracks made by crawling larvae

Strongyloides stercoralis is the primary species of the Strongyloides genus that causes human disease. The larvae are small and can reach around 1.5mm in length. The primary mode of infection is through contact with soil that is contaminated with larvae. The larvae are able to penetrate the skin and migrate through the body to the small intestine where they burrow and lay their eggs. The eggs hatch into larvae in the intestine, unlike other helminths. Of these larvae, most will be eliminated in feces, but some may shed and immediately re-infect the host. This is achieved either by burrowing into the intestinal wall, or by penetrating the perianal skin. The process is called auto-infection, and if the patient is not treated, they may continue to be infected throughout their life.

Strongyloides is generally found in warm and moist areas, as well as areas associated with agricultural activity. The majority of people infected with Strongyloides are asymptomatic, and those who do develop symptoms have generalized symptoms such as abdominal pain, bloating and diarrhea.

The time of exposure is usually unknown, although a local rash can occur at exposure. People exposed to Strongyloides can also develop a cough several days post exposure. Abdominal symptoms usually occur about 2 weeks later, and larvae can be found in the stool after 3-4 weeks. Strongyloides is treated with ivermectin as a first-line drug. Thiabendazole can also be effective.

 

-Mustafa Mohammed, MD is a 2nd year anatomic and clinical pathology resident at the University of Vermont Medical Center.

Wojewoda-small

-Christi Wojewoda, MD, is the Director of Clinical Microbiology at the University of Vermont Medical Center and an Assistant Professor at the University of Vermont.

Blast Morphology Predicting Presence of a Specific Translocation

A 60 year old patient with history of breast cancer presented with pancytopenia and bone marrow study was done to evaluate for metastatic tumor.

CBC revealed pancytopenia with a WBC count of 1.9 K/uL, macrocytic anemia (Hb 7.6 g/dl, MCV 106.2 fl) and decreased platelets at 15 K/uL.

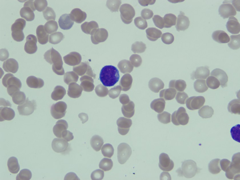
Review of peripheral smear revealed circulating blasts.

Differential Count (100 cells):

  • 13% Blasts
  • 18% Neutrophils
  • 69% Lymphocytes

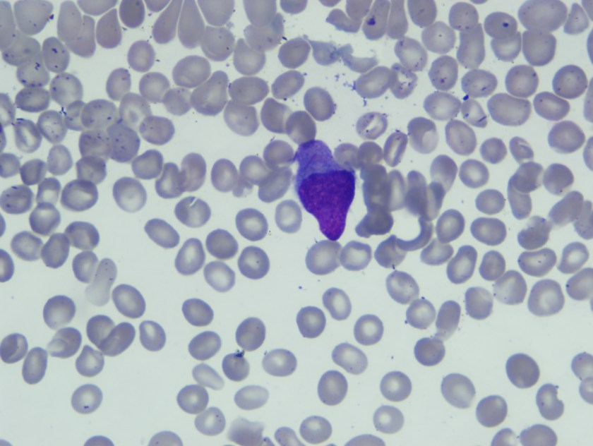
Blasts were intermediate in size with high N/C ratio, fine nuclear chromatin, 0-1 nucleoli, and scant basophilic cytoplasm. Few blasts have convoluted nuclei and in an occasional blasts slender Auer rod was seen.

blast1
Peripheral blood smear showing blast with slender Auer rod
blast2
Peripheral blood smear showing blast with slender Auer rod
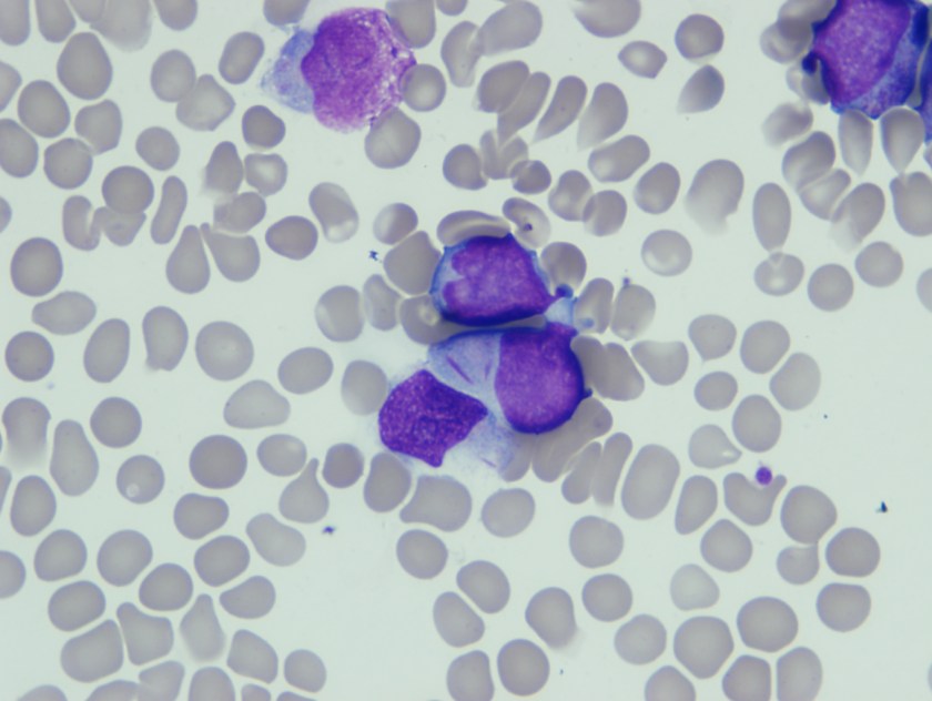
blast3
Bone marrow aspirate smear showing blasts with elongated Auer rods.

Based on this morphological finding FISH for t8;21) was ordered along with karytoype analysis.

Translocation (8;21) was detected by both karyotype and FISH analysis (50.5% cells).

Cytogenetic results

Karyotype

46,X,?inv(X)(p22.1q22),der(8)t(8;21)(q21.3;q22),der(21)t(8;21)(q21.3;q22)add(8)(q24.3)[19]

46,XX[1]

FISH Results:

nuc ish (RUNX1T1,RUNX1x3)(RUNX1T1 con RUNX1x2)[101/200]

nuc ish (MYC,IgH)x2[97/200]

Based on presence of complex karyotype and t(8;21) together with prior history of chemotherapy for breast carcinoma diagnosis of Therapy related AML with t(8;21) was made.

Discussion

Acute myeloid leukemia (AML) associated with the t(8;21)(q22;q22) represents approximately 5% to 12% of de novo AMLs. At the molecular genetic level, this neoplasm is defined by the presence of the t(8;21)(q22;q22) involving the AML1 (RUNX1) gene on chromosome 21q22.3 and the ETO (RUNX1T1) gene on chromosome 8q22. TheAML1ETO (RUNX1RUNX1T1) fusion product disrupts the core binding factor transcription complex, which affects cell differentiation, proliferation, apoptosis, and self-renewal and, thus, initiates leukemogenesis. Patients with de novo AML-t(8;21) have a high complete remission rate and relatively long disease-free survival, especially adults treated with high-dose cytarabine in the consolidation phase.

Therapy-related AML (t-AML) is a known complication of cytotoxic chemotherapy and radiation therapy, which are known to be mutagenic. Causative agents include alkylating agents and topoisomerase-II inhibitors and platinum drugs. The outcomes for patients with t-AML have been historically poor compared with those for patients with de novo AML. t-AML-t(8;21) is uncommon.

Blasts in t-AML and de novo AML associated with t(8;21)(q22;q22) share characteristic morphologic and immunophenotypic features, and affected patients have a comparable initial response to induction chemotherapy. Patients with t-AML-t(8;21), however, have been reported to have a shorter survival.

Therapy related AML with t(8;21) shares morphologic and immunophenotypic features with de novo AML-t(8;21).

Common morphological features include the presence of large blasts with abundant cytoplasm, often containing Auer rods which appear long and slender with tapered ends as was seen in our patient. Additional common morphological findings seen in AML with t(8;21) include presence of numerous azurophilic granules and perinuclear clearing or very large granules (pseudo-Chediak-Higashi), suggesting abnormal fusion.

Both de novo AML with t(8;21) and therapy related AML with t(8;21) are characterized by the AML1ETO (RUNX1RUNX1T1) fusion. However, AML1ETO fusion in t-AML does not predict a favorable outcome in the therapy-related setting. Patients with t-AML-t(8;21) usually have a higher frequency of KIT mutations, which is an adverse prognostic indicator.

 

Vajpayee,Neerja2014_small

-Neerja Vajpayee, MD, is an Associate Professor of Pathology at the SUNY Upstate Medical University, Syracuse, NY. She enjoys teaching hematology to residents, fellows and laboratory technologists.

Microbiology Case Study: A 26 Year Old Female with Peri-partum Fever and Hemolysis

Case

A 26 year-old G1P0A0 female at 35 weeks 2 days twin gestation presented with contractions and was found to have oligohydramnios and decelerations of both twins. She reported a subjective fever two days prior and the morning of admission, associated with a mild frontal headache, both of which resolved prior to presentation. At the time of admission she was afebrile, however pancytopenic with WBC 4.17 x 109/L, platelets 105 x 109/L of and hemoglobin 7 g/dL with laboratory evidence of hemolysis; haptoglobin <5 mg/dL, reticulocyte 143 x 109/L (6.5%), lactate dehydrogenase 460 units/L and total bilirubin 2.4 mg/dL. Upon further questioning, the patient reported that she recently emigrated from Central Africa where she was found to be anemic and treated for malaria approximately one month prior to presentation. She reported taking oral medication with no follow-up. A malaria workup, including thick and thin smears (Figure 1), was initiated for the patient and her newborn twins after a successful urgent Caesarian section. The placenta was submitted for standard histopathology (Figure 2) according to protocol due to pre-term birth, multiple gestation and fetal distress.

mal1
Figure 1. Compilation of several images of Wright Geimsa-stained thin smears of the patient’s peripheral blood, showing numerous and often multiple intra-cellular delicate ring forms, including appliqué forms. Occasional extra-cellular forms were also identified.
OLYMPUS DIGITAL CAMERA
Figure 2. Wright Geimsa stain of a thick smear showing numerous aggregated ring forms.
mal3
Figure 3. Hematoxilin and eosin (H&E) stain of formalin-fixed paraffin embedded (FFPE) placental tissue, showing A. intervillous macrophages and hemazoin and B. infected red blood cells (RBCs) in the intervillous (maternal) spaces containing ring forms, sometimes appearing as black, refractile dots (inset).

 

Peripheral blood findings

Geimsa-stained thin smears of the patient’s peripheral blood showed numerous infected RBCs and several individual RBCs infected with multiple trophozoites (ring forms). Occasional extra-cellular ring forms were also identified. The rings were small (<1/3 size of RBC) and delicate with 1 or sometimes 2 chromatin dots that give the appearance of headphones. Some of the ring forms were marginalized at the RBC membrane; the so-called appliqué, accollé or marginal forms. Gametocytes were not identified. Parasitemia was calculated to be 10% prior to initiation of treatment. Thick smears showed numerous aggregated ring forms. These features are consistent with Plasmosdium falciparum.

Placenta findings

H&E stained sections of FFPE placental tissue, showed focally increased intervillous macrophages associated with mild perivillous fibrin deposits. Malaria pigment (hemazoin) was scattered throughout the specimen; both intracellular pigment within macrophages and extracellular pigment entrapped in fibrin deposits and in the cytoplasm of trophoblasts was identified. Infected red blood cells, containing ring forms, were only identified in the intervillous (maternal) spaces, sometimes appearing as black, refractile dots (inset).

P. falciparum is a blood parasite transmitted by female Anopheles mosquitos found in the tropics and subtropics worldwide with the highest transmission rates in Sub-Saharan Africa and parts of Oceania. Sporozoites are injected into the bloodstream during a blood meal and travel to the liver to proliferate during the exo-erythrocytic cycle. Schizonts mature in hepatocytes and then rupture releasing merozoites into the blood. Unlike P. ovale and P. vivax, P. falciparum does not have a dormant liver stage (hypnozoites). The erythrocytic cycle begins when merozoites infect RBCs at any stage and undergo asexual multiplication (erythrocyte schizogony) producing ring forms (trophozoites) that mature into schizonts which eventually rupture and release more merozoites into the blood. Some trophozoites mature into gametocytes that can undergo sexual (sporogonic) lifecyles within the mosquito vector when consumed by a female Anopheles mosquito. Banana shaped gametocytes can be found in the peripheral blood in late P. falciparum infection. Stages other than trophozoites and gametocytes are rarely found in peripheral blood during P. falciparum infection due to sequestration in the capillaries and venules of organs.

The diagnosis of malaria is typically made by morphologic examination of 2-3 thick and thin smears over a 24 hour period. Exclusion of malaria can only be made after examination of at least 100 oil immersion fields on thick smears or 300 fields on thin smears to achieve a sensitivity of 5 parasites/μL. Flow cytometric, rapid diagnostic antigen, serologic and molecular (PCR) methods have also been developed, however are not widely available, particularly in endemic areas. The degree of parasitemia (percent infected red cells) is an important prognostic factor in P. falciparum infection, with >2% parasitemia considered severe.

Clinical symptoms are associated with asexual erythrocytic schizgony and include “malaria attacks” consisting of a cold stage (shivering), a hot stage (fevers, headaches, vomiting and seizures in children) and a sweating stage (with malaise and body aches following). These attacks classically occur every 2nd day (48 hours) in P.falciparum infection, which is a “tertian” parasite. Severe malaria and mortality is associated with complications such as cerebral malaria, severe hemolytic anemia, adult respiratory distress syndrome, coagulopathy and organ failure. Adults living in areas of stable transmission that have been infected with malaria multiple times may acquire partially immunity.

Pregnant women and children are particularly susceptible to malaria due to altered and immature immunity respectively. Pregnancy can also reduce previously acquired anti-malarial immunity. The placenta sequesters parasites contributing to severe maternal anemia, intrauterine growth retardation, intra-uterine fetal demise, premature delivery and neonatal death. The severity of complications of malaria during pregnancy increases in HIV infected women and primi-gravidae, however increased severity can extend to second and third gravidae in low transmission areas. In endemic areas where women have acquired anti-malarial immunity, severe maternal anemia may be the only symptom of P.falciparum infection during pregnancy. In some cases, parasitemia may not be detected despite placental infection. Some of the histologic features of placental malaria are described above. Several classification systems have been proposed and generally categorize placental infection (i.e. active, active-chronic, past-chronic) based on the degree of placental changes; namely presence of perivillous fibrin deposits, intervillous macrophages and fibrinoid necrosis of chorionic villi, location of hemazoin pigment, cytotrophoblast proliferation, thickening of trophoblastic basement membranes and identification of infected RBCs. Although placental malaria is a prerequisite for congenital malaria, the frequency of vertical transmission is relatively low, with a ranges reported from 0-25%. Lower transmission risk has been attributed to passive immunization of maternal antibodies and conversely higher transmission risk is associated with non-immunity of mothers.

Discussion

It is suspected, due to high parasitemia with seemingly mild symptoms, that the patient presented above had acquired partial immunity to malaria. In addition, she likely experienced Malarone (Atovaquone-proguanil) failure after initial treatment prior to emigration. She responded well to oral Coartem (artemether-lumefantrine) with non-detectable parasitemia after the third day of treatment. Both infants’ thick and thin smears were negative for parasites.

References

  1. Bulmer JN, Rasheed FN, Morrison L, Francis N, Greenwood BM. Placental malaria. I. Pathological classification. Histopathology. 1993;22:211–218.
  2. Bulmer JN, Rasheed FN, Morrison L, Francis N, Greenwood BM. Placental malaria. II. A semi-quantitative investigation of the pathological features. Histopathology. 1993;22:219–226.
  3. http://www.cdc.gov/malaria
  4. Newman RD, Robalo M, Quakyi I. Malaria during pregnancy: epidemiology, current prevention strategies, and future directions. Emerg Infect Dis [serial on the Internet]. 2004 November [March 7, 2016]. http://dx.doi.org/10.3201/eid1011.040624_09
  5. Uneke CJ. Impact of Placental Plasmodium falciparum Malaria on Pregnancy and Perinatal Outcome in Sub-Saharan Africa: I: Introduction to Placental Malaria. The Yale Journal of Biology and Medicine. 2007;80(2):39-50.
  6. Uneke CJ. Impact of Placental Plasmodium falciparum Malaria on Pregnancy and Perinatal Outcome in Sub-Saharan Africa: II: Effects of Placental Malaria on Perinatal Outcome; Malaria and HIV. The Yale Journal of Biology and Medicine. 2007;80(3):95-103.
  7. Uneke CJ. Impact of Placental Plasmodium falciparum Malaria on Pregnancy and Perinatal Outcome in Sub-Saharan Africa: Part III: Placental Malaria, Maternal Health, and Public Health. The Yale Journal of Biology and Medicine. 2008;81(1):1-7.
  8. http://www.who.int/malaria/en

 

 

-Petra Rahaman, M.D., 4th year Anatomic and Clinical Pathology resident, UT Southwestern Medical Center

-Erin McElvania TeKippe, Ph.D., D(ABMM), is the Director of Clinical Microbiology at Children’s Medical Center in Dallas Texas and an Assistant Professor of Pathology and Pediatrics at University of Texas Southwestern Medical Center.

 

Microbiology Case Study: A 52 Year Old Woman’s Routine Colonoscopy Results

A 52 year old woman with no significant past medical history presented for a routine colonoscopy screening. During the colonoscopy, the mucosa of the colon was abnormal with a vascular pattern that was distorted. There were whitish punctate lesions, particularly in the right colon and a biopsy was taken.

H&E stain of colon biopsy
H&E stain of colon biopsy
H&E stain of colon biopsy
H&E stain of colon biopsy

Based on the microscopic morphology, a diagnosis of schistosomiasis was made. Evaluation of the morphology reavealed lateral spines which is consistent with the diagnosis of Schistosoma mansoni.

Schistosomiasis is a disease caused by infection with parasitic blood flukes. The parasites that cause schistosomiasis live in certain types of freshwater snails. The infectious form of the parasite is known as cercariae. Individuals can become infected when skin comes in contact with contaminated water and is penetrated by cercariae.

Five schistosome species can cause infection in humans:

  • Schistosoma mansoni (Africa and South America)
  • S. japonicum(East Asia)
  • S. haematobium(Africa and Middle East).
  • S. mekongi(Laos, Cambodia)
  • S. intercalatum(West and Central Africa);

The adult worms travel against portal blood flow to the mesenteric venules of the colon. The male schistosome forms a groove for the female in which mating occurs, and in 1-3 months, the females deposit eggs in the small venules of the mesenteric or perivesical systems. The eggs of S. mansoni and S. japonicum move toward the lumen of the intestine while the eggs of S. haematobium move toward the bladder and ureters. They leave the body in feces or urine. Adult worms have an average lifespan of 5-7 years but have been known to survive up to 30 years

S. mansoni and S. japonicumgenerally cause intestinal tract disease and S. haematobiumcauses genitourinary tract disease. More than 200 million people have been infected, leading to approximately 200,000 deaths per year.

Most people infected do not develop symptoms, however infection can lead to swimmer’s itch, acute schistosomiasis syndrome (sudden onset of fever, urticaria and angioedema, chills, myalgias, arthralgias, dry cough, diarrhea, abdominal pain, and headache), and intestinal schistosomiasis (abdominal pain, poor appetite, and diarrhea).

The acute phase of infection is treated with corticosteroids. Praziquantel should be started after acute symptoms have resolved and should be given with corticosteroids.

 

-Mustafa Mohammed, MD is a 2nd year anatomic and clinical pathology resident at the University of Vermont Medical Center.

Wojewoda-small

-Christi Wojewoda, MD, is the Director of Clinical Microbiology at the University of Vermont Medical Center and an Assistant Professor at the University of Vermont.

Microbiology Case Study: 24 Year Old with Loss of Consciousness

Case History

A 24 year old African American male presents to the emergency department after he lost consciousness and fell at home.  Currently, he complains of a significant headache, double vision and confusion. He also states he has a cough and shortness of breath with exertion. Over the past month, he has generally felt unwell and reports recurrent subjective fevers, night sweats, a 20 pound unintentional weight loss and nausea with a loss of appetite.  On physical exam he is found to be febrile (103.1°F), with coarse breath sounds over the right chest. His neurological exam is normal. Chest x-ray shows right lobe infiltrates and bilateral perihilar opacities. A lumbar puncture is performed and showed an elevated opening pressure (28 cm H2O) with an increased white cell count (58% neutrophils, 32% lymphocytes). Blood, sputum and CSF specimens are sent to the microbiology laboratory for Gram stain and culture.

Laboratory Identification

crypto1
Figure 1. Cerebral spinal fluid with narrow based budding yeast forms surrounded by a thick capsule and background neutrophils and lymphocytes (Gram stain, 1000x).
crypto2
Figure 2. Growth of a white, mucoid yeast on Sabouraud’s agar with chloramphenicol after 4 days incubation at 30°C.

 

The centrifuged Gram stain of the CSF showed few yeast forms that exhibited narrow based buds and were surrounded by outline of a thick capsule (Figure 1).  Bacterial and fungal culture of the CSF revealed a white, creamy yeast that grew after 2-3 days incubation (Figure 2). The organism was identified by MALDI-TOF as Cryptococcus neoformans. A cryptococcal antigen test was performed on the CSF and showed a titer of 1:1024. In addition, C. neoformans grew from 4/4 of the patient’s blood cultures. While waiting for the culture results, the patient was found to be HIV positive for a viral load of 975,882 vc/ml and an absolute CD4 count of 17 cells/cm2. No other significant pathogens grew from any of the other cultures obtained.

Discussion

Cryptococcus neoformans is an encapsulated yeast found widely in nature.  It is typically found in soil that is contaminated with pigeon droppings or bat guano that has a high nitrogen content allowing the organisms to proliferate. C. neoformans is acquired via the inhalational route particularly when dust is generated. Individuals with a higher risk of infection include those who work in poultry farms, excavators and spelunkers. In addition, immunosuppressed people, especially with cellular immunodeficiencies such as HIV, those with hematopoietic malignancies and those taking immunosupressants have an increased risk of acquiring infection with C. neoformans. While the organism commonly causes pulmonary infections, fungemia and disseminated disease with cutaneous involvement have been reported. C. neoformans has a particular tropism for the central nervous system and often initially presents as meningoencephalitis without evidence of disease elsewhere.

Historically, the first step in diagnosis of suspected meningitis due to Cryptococcus in the HIV era was to perform an India ink preparation on a CSF specimen. This test served to identify the variably sized (2-20 µm), narrow based budding yeast forms due to the prominent capsule not allowing the ink to reach the cell wall of the organism and creating a halo like appearance around the yeast. While this test provided a rapid diagnosis and was inexpensive to perform, its lack of sensitivity has paved the way for detection of the cryptoccocal polysaccharide antigen via a latex agglutination method. This test can be performed on serum & CSF specimens and provides both diagnostic (qualitative) and prognostic (quantitative) information. By following titers by this method throughout the disease course and therapy, clinicians can monitor response to treatment (declining titers) and relapsed infections (increasing titers).

In culture, C. neoformans appears as white, creamy to mucoid colonies which grow well on Sabouraud dextrose agar within 3 days.  It is positive for both urea and phenoloxidase, which is exemplified by the colony’s reddish-brown pigmentation on bird seed agar. The presence of pigment on this agar helps to differentiate C. neoformans and C. gatti from other cryptococcal species, a distinction that may be important therapeutically as the latter are often more resistant to standard treatments. Microscopically on cornmeal agar, C. neoformans shows variability in size and is uniformly spaced among each yeast form due to the presence of the thick capsule. This characteristic is described as resembling glass beads. No pseudohyphae are present. Other commonly employed laboratory methods currently used to identify C. neoformans include automated instruments, such as the Vitek, and MALDI-TOF mass spectrometry.

In the case of our patient, he received two weeks of induction with amphotericin B and flucytosine. He was discharged home on oral fluconazole maintenance therapy as well as bactrim and azithromycin for prophylaxis from other infectious organisms. It is important to note that C. neoformans is resistant to echinocandins and this group of antifungals should not be used for treatment.

 

TV

-Tudor Vladislav, MD, is a 2nd year Anatomic and Clinical Pathology resident at the University of Mississippi Medical Center.

Stempak

-Lisa Stempak, MD, is an Assistant Professor of Pathology at the University of Mississippi Medical Center in Jackson, MS. She is certified by the American Board of Pathology in Anatomic and Clinical Pathology as well as Medical Microbiology. Currently, she oversees testing performed in both the Chemistry and Microbiology Laboratories.  Her interests include infectious disease histology, process and quality improvement and resident education.