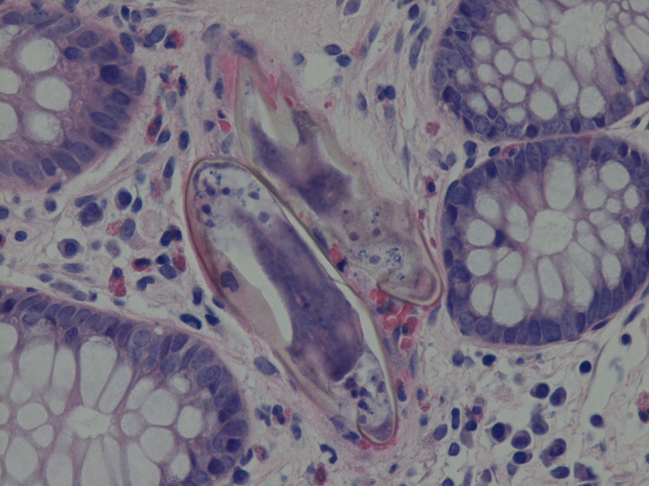
A 52 year old woman with no significant past medical history presented for a routine colonoscopy screening. During the colonoscopy, the mucosa of the colon was abnormal with a vascular pattern that was distorted. There were whitish punctate lesions, particularly in the right colon and a biopsy was taken.


Based on the microscopic morphology, a diagnosis of schistosomiasis was made. Evaluation of the morphology reavealed lateral spines which is consistent with the diagnosis of Schistosoma mansoni.
Schistosomiasis is a disease caused by infection with parasitic blood flukes. The parasites that cause schistosomiasis live in certain types of freshwater snails. The infectious form of the parasite is known as cercariae. Individuals can become infected when skin comes in contact with contaminated water and is penetrated by cercariae.
Five schistosome species can cause infection in humans:
- Schistosoma mansoni (Africa and South America)
- S. japonicum(East Asia)
- S. haematobium(Africa and Middle East).
- S. mekongi(Laos, Cambodia)
- S. intercalatum(West and Central Africa);
The adult worms travel against portal blood flow to the mesenteric venules of the colon. The male schistosome forms a groove for the female in which mating occurs, and in 1-3 months, the females deposit eggs in the small venules of the mesenteric or perivesical systems. The eggs of S. mansoni and S. japonicum move toward the lumen of the intestine while the eggs of S. haematobium move toward the bladder and ureters. They leave the body in feces or urine. Adult worms have an average lifespan of 5-7 years but have been known to survive up to 30 years
S. mansoni and S. japonicumgenerally cause intestinal tract disease and S. haematobiumcauses genitourinary tract disease. More than 200 million people have been infected, leading to approximately 200,000 deaths per year.
Most people infected do not develop symptoms, however infection can lead to swimmer’s itch, acute schistosomiasis syndrome (sudden onset of fever, urticaria and angioedema, chills, myalgias, arthralgias, dry cough, diarrhea, abdominal pain, and headache), and intestinal schistosomiasis (abdominal pain, poor appetite, and diarrhea).
The acute phase of infection is treated with corticosteroids. Praziquantel should be started after acute symptoms have resolved and should be given with corticosteroids.
-Mustafa Mohammed, MD is a 2nd year anatomic and clinical pathology resident at the University of Vermont Medical Center.
-Christi Wojewoda, MD, is the Director of Clinical Microbiology at the University of Vermont Medical Center and an Assistant Professor at the University of Vermont.
