It’s Personal: A Case Study Close to Home

I’ve always been fascinated with medicine and the human body, knowing that I wanted to make a career of it since childhood. I was taking an elective summer course in Histology when a close relative was diagnosed with breast cancer over a decade ago, and that’s when I recognized pathology/laboratory medicine was my specialty. My questions began when her sentinel lymph node had both a different morphological picture and immunohistochemical signature than the primary tumor, and I wanted to know why. Why did her initial core biopsy only show ductal carcinoma, yet post-lumpectomy, her sentinel node was diagnosed as metastatic lobular carcinoma? Where was the second primary tumor? I needed answers, my family needed answers, and that quest propelled me to apply to Jefferson’s Master of Science in Cytotechnology program, fueling my career in Cytotechnology.

A year after I started my career at Fox Chase Cancer Center, my relative received a call – her mammogram showed two abnormal areas. Eight years after her first lumpectomy and completion of a chemotherapy and radiation regimen… eight years in remission, we both knew what this meant. I drove her to the physician’s office, and her surgeon called me into the room after he procured the core biopsies of both lesions. I saw the white “worms” of tissue in the formalin containers and felt confident of a successful procedure. I looked up to see the image of the localization wires within the tumors and heard him say, “if this does come back as cancer, which I’m fairly certain it will, we can either proceed with another lumpectomy or mastectomy.” My relative was silent the entire ride home; she needed time to process. After the not-so-surprising path report came back as ductal carcinoma in both lesions, I called her from work and said, “you’re coming to Fox Chase for a second opinion. You’re having a double mastectomy. We are NOT messing around. Not everyone gets a second chance, and I’ve seen what this care team is capable of – they know your cancer better than anyone.” She calls me her “tough cookie” both out of affection and annoyance. Little did she know my tough cookie exterior was shielding a crumbling interior. After much hesitation due to her fear of the unknown, she scheduled her second opinion.

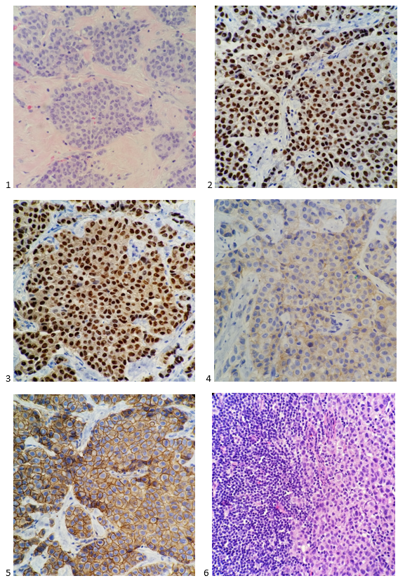
Images 1-6: My relative’s ductal carcinoma: H&E, ER+, PR+, HER2 1+ (negative FISH), E-cadherin+, sentinel node micromatastasis.

In the meantime, she had an MRI which demonstrated the two known lesions in the right breast, but also a large “enhancement” in the right breast. The MRI identified an area of enhancement in the left breast as well. And with those results, my relative felt comfortable withdrawing the lumpectomy plan from the table and played the card of double mastectomy with possible right-sided axillary lymph node dissection. A diagnosis of grade II invasive ductal carcinoma was made in the 1.5 cm right breast lesions, and the 6 cm right breast mass was diagnosed as invasive lobular carcinoma. The right axillary sentinel node demonstrated micrometastasis. On the left side, the pathology revealed a 3.5 cm grade II residual in-situ and invasive lobular carcinoma. She had a TRAM flap reconstruction at the time of her double mastectomy with radiation to the right breast after she recovered. She is tolerating and responding well to the daily dose of her aromatase inhibitor and now knows far too much about breast cancer and hormone receptor status thanks to my harping on the subject.

We both went through clinical genetics screenings, and despite our strong family history of breast cancer, no known germline mutations or variants of undetermined significance were detected in either of our peripheral blood samples. I’m already on board with the “increased lifetime risk of breast cancer” screening guidelines, and if so much as atypical ductal hyperplasia is diagnosed, I am more than willing to have a semi-prophylactic double mastectomy, just to reduce my overall risk of both carcinoma AND recurrence. My relative’s breast cancer experience set the precedence for my approach in the field of cytotechnology. From the beginning, I craved definitive answers for her, and I will do whatever I can as a cytotechnologist to provide definitive answers for all of my patients.

I still remember attending my first ultrasound-guided FNA (Fine Needle Aspiration) after my relative’s mastectomy. The patient was 42, a mother to a 3 year old and 6 year old, and presented with triple negative, grade III, poorly differentiated breast cancer and cervical, occipital, hilar, and mediastinal lymphadenopathy.

Image 7,8: US-guided FNA of right cervical lymph node, Diff-Quik and Papanicolau stains. Metastatic PD Breast Carcinoma.

I assisted the radiologist in obtaining cellular material from the patient’s targeted right cervical lymph node, and when the radiologist prepared the core biopsy needle, the patient started to tear up, knowing well what the lymphadenopathy indicated. She told us she knows how aggressive her cancer is, how her young children are going to lose their mom, and I remember doing everything I could to hold it together and provide my adequacy statement to the radiologist. Like a child on the playground trying not to cry in front of her friends after skinning her knee, I gathered all my paperwork and the specimen containers, cleaned up my cytology cart, and walked back upstairs to our cytoprep lab. I assigned the specimen an accession number, handed the prep tech my cell block tube so she could spin down the residual material in formalin and ensure the cold ischemic time was less than one hour, and I bee-lined for a private space. I found our cytology file room, closed the door behind me, sank against the wall, and cried. I, too, knew the likelihood of her children losing their mom without medical intervention, and that the intent to cure would be the most difficult journey of this young woman’s life. This is why I’m here. This is why I fight for more material, why I fight for answers, and why I will always put the patient first.

Taryn Waraksa, MS, SCT(ASCP)CM, CT(IAC), has worked as a cytotechnologist at Fox Chase Cancer Center, in Philadelphia, Pennsylvania, since earning her master’s degree from Thomas Jefferson University in 2014. She is an ASCP board-certified Specialist in Cytotechnology with an additional certification by the International Academy of Cytology (IAC). She is also a 2020 ASCP 40 Under Forty Honoree.

Beggars CAN Be Choosers

There is a fine line between obtaining enough cellular material for every ancillary study in the book and risking harm to the patient. So how do we ensure that the patient remains safe, but doesn’t need to come back for a second biopsy due to insufficient material?

Hi! I’m Taryn, a Specialist in Cytotechnology at Fox Chase Cancer Center and a medical laboratory professional who thrives on patient advocacy. Welcome to my first post for Lablogatory! Each month, I’d like to share a story of how the middleman/woman cytotechnologist becomes the biggest campaigner for the patient. Typically, I’ll be posting case studies of rare tumors and how we arrived at the diagnosis, but I’ll start with how to guarantee that we have ample material to provide a comprehensive result for both the patient and clinicians.

 It’s a fight, to say the least. With personalized medicine at the forefront of our cancer center’s mission, we need ALL of the material for any and every ancillary test one can think of, from immunohistochemistry to flow cytometry to molecular diagnostics. That sounds like a lot because it is. From my experience, many clinicians feel that just because cytotechnologists can make a satisfactory adequacy statement on a Rapid On-Site Assessment (ROSE) of a Fine Needle Aspiration Biopsy (FNA), and the pathologists can make a definitive diagnosis based on cytomorphology alone, that means they have obtained sufficient material. For years, that was a valid thought. But now that we have taken various leaps from diagnostic to prognostic and now theranostic approaches, “enough” for cytomorphology is nowhere near “enough” for the patient’s clinical outlook.

As a cytotechnologist present on FNA’s, I have been called “greedy” and a “beggar” by clinicians on more than one occasion. No hard feelings, I promise. As long as the anatomical location of the biopsy does not pose more risk than reward, rest assured, I’m going for the gold medal. Starting out, I obtain one or two fine needle aspiration passes from the radiologist, pulmonologist, gastroenterologist, etc., and from each pass, I prepare one smear to be stained on-site via Diff-Quik (Modified Wright-Giemsa stain) and the mirror image smear fixed in 95% ethanol to be Papanicolaou stained later in the lab. The residual material in the needle is rinsed in Hank’s Balanced Salt Solution (A.K.A. Gatorade for cells) and later spun down into a pellet for a Formalin-Fixed Paraffin-Embedded (FFPE) Cell Block. I look at the Diff-Quik stained smears under the microscope and tell the clinician if the material I have is adequate, scant, or inadequate. This is where it gets interesting.

Clinician: “Adequate. So, we’re done? Okay.”
Cytotechnologist: “The smears are adequate, but I need more material for the Cell Block. Can I have two more passes? And a core biopsy, as requested on the presentation state.”
Clinician: “But you have enough. We already know the patient has lung cancer. You don’t need anymore. I’ll give you a core biopsy, but no more fine needles.”
Cytotechnologist: “I need at least two more needles. The core biopsy material will be saved for molecular. The ordering physician wants to know if the patient’s EGFR-mutated tumor also carries a T790M mutation to see if they are eligible for this therapy. But I also need additional needle passes for the Cell Block to prove that the immunohistochemical profile is the same as the original material. If there is a small cell carcinoma component in the metastasis, that changes things.”
Clinician: “Fine. Pathology is so greedy.”

Okay, so we have definitely progressed into a new era. Many newly trained clinicians understand the need for ample material, but this conversation still occurs on a daily basis. Don’t get me wrong, the veteran clinicians (from my snippet) are remarkable. They can find a needle in a haystack, hit a moving target time and time again, and provide me with a perfect tumor-rich sample. But alas, in trying to educate and advocate, I admit- I do come off as a beggar. The key in our ROSE role is to not back down though. Cytotechnologists remain strong in their convictions, fighting for the patient, so that not only do we have enough cellular material for all of the necessary ancillary studies the first time around, but that hopefully the first time around is the ONLY time around.

We’ll chat soon!


Taryn Waraksa, MS, SCT(ASCP)CM, CT(IAC), has worked as a cytotechnologist at Fox Chase Cancer Center, in Philadelphia, Pennsylvania, since earning her master’s degree from Thomas Jefferson University in 2014. She is an ASCP board-certified Specialist in Cytotechnology with an additional certification by the International Academy of Cytology (IAC). She is also a 2020 ASCP 40 Under Forty Honoree.

A Trainee Abroad: One Cytopathology Fellow’s Experience at a Teaching Hospital in Rwanda

The University Teaching Hospital of Kigali (CHUK) is the largest hospital in its District of Nyarugenge and the biggest national referral hospital in the country of Rwanda, with a 565 hospital bed capacity and 6 operating theaters. It is located in the heart of the capital of the country, Kigali, contributing to its easy accessibility by patients. Rwanda is a country of over 12.5 million people, with an estimated 70.2% of the population living in a rural setting. Per the World Bank, there is an estimated 1 physician per 10,000 people in-country. The government of Rwanda is focused on elevating the country from a low-income developing nation to a middle-income country with a robust health sector capable of ensuring a healthy people with adequate healthcare access. It provides universal healthcare, at a small cost, to all Rwandan citizens who aren’t provided health insurance through employment. In Rwanda there are a total of 14 practicing pathologists, which equates to approximately 1.1 pathologists per million people in the country. In contrast, within the United States there are an estimated 60 pathologists per million people. CHUK offers an array of outpatient, inpatient, surgical, and diagnostic medical services. Inpatient and outpatient services include surgery, accident & emergency, internal medicine, mental health, anesthesiology & critical care, gynecology, pediatrics, maternal & neonatology, ear/nose/throat, ophthalmology, neurosurgery, pediatric surgery, urology, nephrology, dialysis, oncology, and dermatology. Surgical services include general surgery, general pediatric surgery, neurosurgery, orthopaedics, ophthalmology, ear/nose/throat, and obstetrics/gynecology. Diagnostic services include ultrasound, digital x-ray, CT scan, and anatomic and clinical pathology services. In its current state, the hospital has a total of 18 divisions.

There are two facets to the pathology laboratory at CHUK: the Anatomic Pathology (AP) and the Clinical Pathology (CP) laboratories. Within the AP laboratory, also known as the histopathology laboratory, all surgical specimens are grossly examined by a pathology resident and/or pathologist, prepared by a pathology resident for processing, and processed by laboratory technicians into formalin-fixed paraffin-embedded tissue placed onto glass slides. These glass slides are then reviewed by both the pathology residents and the pathologists in order to render a diagnosis, which is communicated to the clinician in order to help direct appropriate patient management. Specimens reviewed at CHUK are predominantly “in-house” specimens generated by the surgeons and clinicians functioning within the walls of the institution. “Referral” specimens are a rarity and generally consist of small biopsies. Cytopathology specimens are also processed within the AP laboratory and include a mixture of fine needle aspiration (FNA) specimens, obtained by pathology residents via superficial FNA, as well as exfoliative cytology specimens such as effusions and urines collected by “in-house” clinicians. Cervical screening conventional pap smears are a rarity. Within the AP laboratory, Diff-Quik, Papanicolaou, and hematoxylin & eosin (H&E) staining was available for slides, as well as a limited panel of special stains: PAS-D, auramine, and a modified acid-fast stain. No immunohistochemistry was available on-site, though cases could be sent for free to nearby Butaro Hospital for IHC or consultation via digital slide scanning.

Regarding my experience at CHUK, I departed the United States on a Saturday evening and reached Kigali, Rwanda by 1AM the following Monday morning. On my first day at CHUK, I was introduced to the 5 anatomic pathology staff, 9 anatomic pathology residents, and the single visiting pathologist serving as a laboratory inspector conducting a mock inspection/assessment. I was given a tour of the pathology facilities as well as the entire hospital system.

There were two aspects to my primary job at CHUK: teaching the residents cytopathology and microscopic review of all live cytopathology cases received in the laboratory. Regarding resident education, there were four ways in which I interacted with the residents during my time to facilitate cytopathology education: lectures, multi-headed microscope unknown slide sessions (unknown case conference where I provided the residents with cases they had never seen before), multi-headed microscope “stump the chump” unknown slide sessions (where the residents presented me with unknown cases I had never seen before), and interactive practicals where we performed various hands-on aspects of cytopathology and general pathology practice.

In respect to lectures, I delivered a total of eight 1.5 hour powerpoint-based lectures covering the following topics: breast cytology, thyroid cytology, lymph node cytology, salivary gland cytology, urine cytology, effusion cytology, peritoneal washing cytology, and frozen section pathology (frozen section lecture presented as a combined effort with Dr. Raina Flores). For unknown slide sessions in which I presented cases to the residents, we had 6 sessions covering the following topics: breast, thyroid, salivary gland, urine, conventional pap, and cerebrospinal fluid. We completed a total of 5 “stump the chump” sessions, where residents gave me slides that I had never seen before and we discussed each case and its work-up as well as its associated differential diagnosis or final pathologic diagnosis at the multi-headed microscope. Topics covered included: breast, thyroid, salivary gland, lymph node, and effusions. Finally, with the assistance of “in-house” pathologists, I helped conduct 2 hands-on practicals with the residents: the first regarding fine needle aspiration technique and slide smearing technique (with Dr. Claire Nadyisaba) and the second regarding performance of frozen section intraoperative consultations using Leica CM1850 cryostats and cow liver (with Dr. Raina Flores).

The second of my duties, live cytopathology case review, was also performed at the multi-headed microscope with the residents each afternoon. On a given day, we would typically receive somewhere between 1 and 4 FNA consultations for which the residents would go to FNA clinic and perform the procedure. The laboratory also received various aspirated and exfoliative cytology specimens, such as pleural effusion and ascites fluids, from clinicians within the hospital system. In total, we reviewed 51 cytopathology cases together at the microscope. 27.5% were neoplastic, with 7.8% being malignant and 2% being lymphoma. 56.8% of cases were negative for malignancy, with 21.5% being inflammatory/infectious. In total, 9.8% of cases were interpreted as “atypical” and 5.9% of cases were non-diagnostic. Of the 51 cases, 21 (41.2%) were FNA consultations that I attended and the resident performed.

On my final day of work, I provided the residents with a 41-page cytology knowledge assessment (in PDF format) to complete at their leisure. This test covered the following topics: cervical and vaginal cytology (19 questions), urine and bladder cytology (11 questions), effusion cytology and peritoneal washings (13 questions), cerebrospinal fluid cytology (12 questions), breast cytology (8 questions), thyroid cytology (17 questions), salivary gland cytology (13 questions), and lymph node cytology (11 questions). Within the document, an answer key with associated detailed explanations was provided so it could serve as a learning aid/study guide for the trainees.  On my last workday, the residents were asked to evaluate their experience with the Cytopathology Module/Course. A total of 7 of 9 residents completed the evaluation. Regarding preparation and organization of different topics, all residents found the quality of the powerpoints to be “very good” or “excellent”. The quality of the practical sessions was rated as “good,” “very good” or “excellent by all residents and the entire module was given an overall rating of “very good” or “excellent” by all of the residents. The majority of residents felt their time was used effectively during this module and that the venues for theoretical and practical learning were appropriate. In the free-text areas for additional comments, suggestions for improvement included a longer duration (at least 4 weeks) of the module, more hands-on practical time, the opportunity for residents to present information, and more microscopy sessions. For additional topics to be covered, respiratory cytology was suggested. In overarching comments regarding their module experience, the residents felt the module was well-prepared, the teaching sessions were well-organized, and that the course was interesting and helpful.

Finally, though not within the confines of my assigned “duties”, I also spent a portion of each day acting as “consultant” to the on-site pathologists for challenging surgical pathology cases, offering opinions as able for various lesions that were challenging to classify on H&E morphology alone. I also served as a “second reviewer” for new malignant diagnoses being rendered in the laboratory, offering my name to be included in the report as a board certified pathologist who has laid eyes on the case and agrees with the interpretation. Examples of some interesting surgical pathology cases I saw in “consultation” included Wilms tumor (nephroblastoma), cystic partially differentiated nephroblastoma (CPDN), pleomorphic xanthoastrocytoma (PXA), sinonasal undifferentiated carcinoma, basaloid moderately-differentiated carcinoma of the uterine cervix, high-grade large cell lymphoma of the cervical lymph node, high-grade squamous intraepithelial lesion of the vulva arising within a condyloma acuminatum, and low-grade papillary urothelial carcinoma of the bladder. I also attend a single Tumor Board Multidisciplinary Conference with two residents and 1 staff pathologist in which a resident presented a case of mucinous moderately-differentiated adenocarcinoma of the colon transmurally invading adjacent ileum. It was interesting to hear the clinicians, pathologists, and radiologists interact in addressing quality of care, efficiency of care, and clinical decision-making. The time of initial presentation to the time of surgery was greater than 1 year for this patient.

My time spent at CHUK in Kigali, Rwanda was an invaluable experience. The work setting granted me the opportunity to expand my role as an academic educator. I was offered the opportunity to present as many lectures as possible to the resident trainees, participate as the leader of multi-headed microscope slide sessions, serve as a spearheading physician in laboratory services expansion efforts, and work as an ‘attending’ physician overseeing trainees’ performance of FNAs. It was an experience that demanded personal growth, via the assumption of roles that I am not privy to as a post-graduate medical education trainee in the United States. Additionally, I was exposed to a cytopathology and surgical pathology workload for a patient population quite dissimilar from the community I am used to serving. With limited ancillary testing capabilities, I returned to a more “pure” form of rendering pathologic diagnoses, based on H&E morphology alone rather than on the synthesis of cyto- and/or histomorphologic appearance coupled with various ancillary diagnostic testing data points. In conclusion, this was an experience that expanded my understanding of the ways in which I can be useful as a board certified anatomic and clinical pathologist interested in incorporating medical mission work into my clinical practice. Beyond arriving in countries without expansive pathology laboratory systems and simply doing the work, I can also pursue opportunities where I can help educate and shape burgeoning in-country pathologists who will then go on to have productive, hopefully decades-long careers in their country, serving their countrymen. This trip certainly expanded my understanding of the role of a “visiting” pathologist. This experience was made possible by the ASCP Trainee Global Health Fellowship Award. Thank you so much to the ASCP, Dr. Dan Milner, Alpa Pandya, and the CHUK pathology department for helping to facilitate this opportunity!

Image 1. Dinner with CHUK pathologists and pathology residents
Image 2. Frozen section training with CHUK pathology residents
Image 3. CHUK laboratory medicine building
Image 4. CHUK hospital
Image 5. CHUK hospital entrance
Image 6. Small “downtown” area near CHUK hosptial–Kwibuka (“to remember”) memorial in remembrance of the 25th anniversary of the Rwandan genocide.
Image 7. Overlooking Kigali.
Image 8. Ferry ride to various neighborhoods in Kigali

-Kelsey McHugh, MD is a board certified anatomic and clinical pathologist, with cytopathology subspecialty certification, who is currently completing gastrointestinal, hepatic, and pancreatobiliary pathology subspecialty training. She anticipates graduating from the Cleveland Clinic Gastrointestinal, Hepatic, and Pancreatobiliary Pathology Fellowship in June 2020, after which she will remain at the Cleveland Clinic as a staff pathologist beginning July 2020.

In Favor of Co-Testing

Recently, Lablogatory interviewed R. Marshall Austin, MD, PhD, in regards to the benefits of using both liquid-based cytology and HPV testing to screen for cervical cancer. The interview below has been lightly edited for brevity and clarity.


 

Hi, Dr. Austin. Thanks for joining us today. Can you tells us a bit about your background?

I consider myself a gynecological pathologist, which includes surgical pathology and cytology. I’ve been involved with cervical screening issues for quite some time. Going back to the 90s, and even before that with CLIA ’88. My PhD is in virology, which is relevant now with the all the HPV issues. I did my subspecialty training in GYN and breast pathology and cytology at the armed forces institute of pathology.

Over your career you’ve authored or co-authored over 80 papers relating to cervical cancer screening. What made you so interested in this field of study?

It was an area that became a hot topic with CLIA ’88. CLIA ’88 was precipitated by a Wall Street Journal expose on Pap smear screening in the United States, which was ironic because the Pap smear has been the most effective cancer screening test in the history of medicine. This drew me in, since it was my subspecialty area of interest. There had been technological advances in the field even though the Pap smear itself hadn’t changed that much since it was introduced during World War II. Computer-assisted screening, liquid-based cytology, HPV testing all really have dramatically changed the field.

What was your initial reaction when the US preventative services task force released their draft document on cervical cancer screening recommendation in September of 2017?

I thought it was a mistake. I wrote a letter why I thought so, and apparently a lot of other people did, too.

How integral was the pathology and medical community’s reaction to this draft document in changing the USPSTF’s recommendations to include co-testing?

I’m sure that the feedback had a cumulative impact. I’ve heard different views on what components were most instrumental.

What made you decide to perform the recent study that appears in AJCP?

I had read online at the end of last year a pre-publication paper published by the Journal of the National Cancer Institute. I had seen their figures presented by Walter Kinney as early as October at a meeting in Amsterdam. I asked him where these figures available, and he said they were going to be published. I thought their results were probably different than what we would have seen in our own lab. So I thought we really need to look at our own data in the exact same format as the data presented in the JNCI. We were able to do that by about March.

Wow! That seems really fast, considering how large your data set is.

We have kind of an unusual set up here because I work with two information scientists here at the University of Pittsburg. We automatically have all of our data being taken from our LIS into a cervical screening model which we call the Pittsburgh Cervical Cancer Screening Model and we have over 13 years of data. So we’re in kind of a unique position to very quickly put our data into different types of formats. Agnieszka Onisko, the information scientist on the publication, was able to quickly look at our data and get it into the same format as the paper from Kaiser. Once I saw how different our results actually were, my goal was to get the paper out before the USPSTF report came out. We had our tables and figures by March and I submitted the manuscript to AJCP in early May.

Let’s talk a little bit about the benefits of cotesting, and some of the downsides.

Well, the reason I always tell people, the reason that women get screened is because they don’t want to get cancer and they don’t want to die of cancer. Getting screened isn’t a pleasant experience, necessarily, but women don’t get screened because they’re worried about dysplasia or some other condition. They’re worried about cancer. The other thing that’s always been misunderstood is the limitations of screening. Screening was effectively sold to the American public by the American Cancer Society and the National Cancer Institute, and while it was an effective campaign, it basically left women with the impression that if they get screened, they won’t get cancer. Although cervical cancer screening has been the most effective cancer screening program ever, it’s never been perfect. A paper out of England in 2016 had a sophisticated analysis about the effects of cytology screening on cancer rates in England. It estimated that about 70% of cancer mortality was being eliminated with screening, and could potentially be as high as 83%, which still isn’t 100%. So when women get cancer, they get upset. My general philosophy has always been that we should do as much as we can to minimize cancer in the screened population because that’s what the public wants and expects.

The disadvantages of cotesting is one, it adds costs. Two tests cost more than one, after all. And also, cotesting adds the potential for more red flags that require potential investigation that can increase the number of procedures. Having said that, and having been involved in a number of years especially in cases where litigation is involved the public wants and expects the most protection possible. So, to me, the extra cost is still in line with what the public wants: the maximal possible protection.

Up to Date or Up for Debate?

Hello again everyone! Welcome back.

This month I think it’s important to take a step back from clinical pearls, developing our interpersonal skills, and interdisciplinary dynamics and go back to what I started writing about here on Lablogatory: public health and shaping policy. (Sorry, no Transformers, Simpsons, or Star Trek this time.)

Now, you may or may not have heard in recent news that the United States Preventive Services Task Force (USPSTF) updated their long-standing guidelines for screening women for cervical cancer. Normally I wouldn’t file this away under “exciting must-read,” but I was piqued when I also read that ASCP along with the College of American Pathology (CAP), American Society of Cytopathology (ASC), American Society for Colposcopy and Cervical Pathology (ASCCP), the Society of Gynecologic Oncology, the American College of Physicians (ACP), the American Society for Cytotechnology (ASCT), the American Cancer Society (ACS) the Papanicolaou Society of Cytopathology, as well as the American College of Gynecologists (ACOG) and other professional institutions and individuals voiced concerns over the changes to the USPSTF standard.

This is a topic that can be discussed for days, but I’ll do my best to give you the readers’ digest and present the main contentions regarding this standard of patient care and laboratory methodology.

Woah. What’s going on?

Basically, because of some new research and recommendations, the USPSTF—a body which publishes the standard of care for nearly every conceivable aspect of preventive care in the US—rolled back on the algorithms for screening women for HPV and cervical cancer. It all comes down to the utilization of co-testing (doing both Pap smear cytology and HPV testing for certain age demographics) as a point of contention. Under a banner of addressing keywords like “cost” and “harm,” these new recommendations have left clinicians both in and out of the lab in stirrups—sorry, couldn’t resist that one. But don’t worry, I wouldn’t be able to track these changes or even understand them without some sort of visualization. When it comes to recommendations, standards, and guidelines I’m about as proficient as a broken manual diff counter…

cotesting1
Figure 1. These are the guidelines as they stand from each of the major professional organizations concerned with cervical cancer screenings. Dissenting/recommended opinions are highlighted. To the untrained eye this is very unexciting. The bottom line is that the USPSTF no longer recommends co-testing for screening. Source: adapted from UpToDate

Slow down. Explain co-testing and primary testing? What exactly do the old and new recommendations mean?

Okay. When women undergo routine cervical cancer screening they receive Pap smears (cytologic examinations) every three years. This testing has been the standard for a number of years and is adequately sensitive for women up to the age of 30. Often times, these younger women may have slight intraepithelial changes (LGIL) which are considered low grade and remiss on their own. After that age it has become standard practice to add the additional test (while collecting the Pap specimen) of HPV DNA testing. This adds an increased level of sensitivity/specificity and is called co-testing. The new recommendations depart from this co-testing model, citing that there are increased harms (in the form of false positives) which ultimately lead to waste and unnecessary testing for women after the age of 30. Primary testing would mean only screening with HPV DNA assays after 30. According to the National Cancer Institute, all available literature on the subject of HPV and cervical cancer testing adequately demonstrates that co-testing is the best option. A number of studies were compiled to address the harm vs. benefit of Pap and HPV testing. Together, however, these tests decrease the incidence of cervical cancer. New guidelines were made based off mathematical projections and cost-benefit analyses which try and minimize losses for screening. Dr. J. Kim, a public health researcher at Harvard, was integral in contributing models which projected the cost/benefit of changing HPV guidelines. Essentially, the study projected that, when considering “harm” (i.e. colposcopy/false negative) abandoning co-testing changed the mortality rate from 0.3-0.76 per 1000 women with co-testing, to 0.23-0.29 per 1000 women with primary HPV testing. An impressive and significant statistical advantage. However, the total number of unscreened women with mortality rates was between 1-2%. This study was a microsimulation done from historical data within rates of cytologic detection and retrospective testing data on women, projected for a future hypothetical 5 year interval. Fascinated by this study, I tried to reach out to Dr. Kim to discuss limitations in using models and simulations and public health evidence to change practices, but I’m sure she is busy and could not respond in time.

So, to co-test or not to co-test, that’s the question. Right?

In its simplest sense, yes. The major medical professional societies also publish their most current recommendations for practice standards—and the issue is that the USPSTF took a departure from what most of the professional societies recommend regarding co-testing. Late last year, the CAP, ASC, ASCT, ASCP, and the PSC issued a statement under their independent collaboration called the Cytopathology Education and Technology Consortium (or CETC). In this response to the USPSTF guideline changes, they discussed their concerns. Specifically, their objections center around the fact that without co-testing for screening, cancer prevention might be impacted negatively. The CETC claimed that sensitivity is already maximized with previously recommended co-testing guidelines. They also cite that there is only one FDA approved HPV primary screening test available—and not all labs have it! More so, CETC discussed the need to keep morphological testing continuous for women who have histories of Pap smears, the potential to overwhelm colposcopy services for screening all positive HPV patients, and the honest reality that not all clinicians would be compliant with the way the USPSTF recommends testing. The bottom line from this consortium:

  1. Cytology and high-risk HPV co-testing should be kept as the standard screening for women aged 30-65
  2. Primary HPV screening should only be done with validated, FDA approved testing methodologies
  3. HPV screening methods should continue their current schedule until longitudinal data can offer new evidence for changes

So, what’s the current technological climate for how we test for HPV?

Currently, most clinicians do co-testing. The standard for Pap smears utilizes a physical tool to collect epithelial cells from the cervix at vaginal, ectocervical, and endocervical sites. The swabs are prepped on 1-2 slides, fixed with alcohol or other spray cell-preservatives and sent to labs for cytologic examination. The basic Papanicolaou staining procedure uses hematoxylin for nuclear staining, and two cytoplasmic counterstains.  This is essentially a modified H&E stain to clearly visualize morphology.  Staining is rarely done manually and some instruments offer stain/prep combination capability. I couldn’t find too much information on this, but I remember there not being too many official FDA approved prep machines for Pap specimens. Cytotechs and pathologists read the slides and issue sign outs on morphology according to the Bethesda system—very heavy read, don’t bother; essentially it has three main categories of normal, benign changes, and abnormal. According to ASC “for squamous lesions, TBS terminology includes atypical squamous cells of undetermined significance (ASCUS), low grade intraepithelial lesion (LGSIL or LSIL), high grade intraepithelial lesion (HGSIL or HSIL) and squamous cell carcinoma.  Some laboratories also incorporate other terminologies of dysplasia and/or cervical intraepithelial neoplasia (CIN) into their reports.  For glandular lesions, TBS terminology includes atypical glandular cells of undetermined significance (AGUS) and adenocarcinoma.”

As of now FDA approval for HPV primary testing for high-risk strains is limited to the Roche Cobas hrHPV test. I could link you to their website, but you’ll be sold right away. They tout the future of HPV screening is HPV primary testing and to do away with the Pap! Their graphs and figures are impressive (just like their price tag!) and there’s no doubt that sensitivity is something that real-time PCR provides more than cytologic examination. But, as always, more assays will be approved, and advancements will tweak the sensitivity and specificity higher and higher.

Got it. So, technology and lab tests are always advancing, why can’t we make this change?

It’s not so easy to change the method or assay we use to screen or diagnose patients in the lab. If you recall, I talked about how the hospital I’m currently rotating in is leading the region in advancing the new high-sensitivity troponin assays. It’s still a hard sell to many even though the data and projections seem to all point to a green light. But that’s a paradigm shift that involves side-stepping from one immunochemical assay to a more sensitive immunochemical assay. It’s the same stuff, just sharper and with more clinical data to interpret with regards to acute coronary symptoms and clinical risk stratification. Swapping an old car for a new car. This conversation is a bit more complex. The recommendations for cervical cancer screening suggest that we should move away from mostly morphologically-driven, human-based cytology interpretation and move toward PCR-based assays for detection. Literally apples to oranges. We might think we know which one is better right now, but longitudinal studies are the only way to really tease out if this change in practice to improve patient outcomes in the long run.

Where do we go from here?

Ultimately, I think a few things need to happen for this recommendation to become standard practice. First, professional societies in every discipline from gynecology to cytology need to come to an agreement. It remains to be seen whether certain agencies will adopt and recommend the USPSTF guidelines, and statements from groups like CETC reveal a vote of no confidence in this current climate. Ultimately, because of numerous objections (including the ones from ASCP and the CETC) the USPSTF does say that co-testing is still optional between patient and provider, so we’re not really in crisis mode. But what happens when the advancements and the recommendations catch up to our ability to abandon the cytologic contributions of a future useless Dr. Papanicolou? We could probably deal with that when it comes to fruition, but until then we have a real discussion about what “harm” really is. Is colposcopy flat out harm? Or are the false positives that reflex to further testing? Is the current practice a safety-net for populations across socio-economic tiers with varying access to screening in the United States? When compared to other countries, HPV prevention, vaccination, and screening is much more easily facilitated. Is this a contributing factor for our messy guidelines? Will there be more options for FDA approved methodology in the near future? There remain a number of good questions which require examining cross-sections of data and patient outcomes. And, I believe, we may see change soon—but not quite yet.

What are your thoughts? What have you experienced in your lab or clinic? Leave your comments below!

Thank you and see you next month!

References

  1. ASCP One Lab. 2018. ASCP Declares Victory for Patients with Revised USPSTF Cervical Cancer Recommendation. Aug 21, 2018. Accessed Sep 2018: http://labculture.ascp.org/community/news/2018/08/21/ascp-declares-victory-for-patients-with-revised-uspstf-cervical-cancer-recommendation
  2. 2018. Vaccines and Preventable Diseases. HPV Vaccine Recommendations. Centers for Disease Control and Prevention. Atlanta, GA. Accessed Sep 2018. https://www.cdc.gov/vaccines/vpd/hpv/hcp/recommendations.html
  3. 2017. Response to New USPSTF Draft Guidelines for Cervical Cancer Screening. Cytopathology Education and Technology Consortium. Accessed Sep 2018: https://s3.amazonaws.com/ascpcdn/static/ONELab/pdf/2017/CETC+-USPSTF+Letter+10-2-17.PDF
  4. Basu, S. 2013. Complexity in Mathematical Models of Public health: A Guide for Consumers of Models. PLOS, Medicine. Oct 29, 2013. https://doi.org/10.1371/journal.pmed.1001540
  5. Felscher, K. 2018. The science behind new screening guidelines for cervical cancer. An Interview with Dr. J. Kim. Harvard T.H. Chan, School of Public Health. Accessed Sep 2018: https://www.hsph.harvard.edu/news/features/science-behind-new-screening-guidelines-cervical-cancer/
  6. Kim, J. 2017. Screening for Cervical Cancer in Primary Care. Journal of the American Medical Association (JAMA). 2018;320(7):706-714. Doi:10.1001/jama.2017.19872
  7. Lerman, L. 2018. Screening for Cervical Cancer – New Tools and Opportunities. Journal of the American Medical Association (JAMA) – Opinion, Editorial. Vol. 320(7):647-649
  8. Nayar, R. 2017. Primary HPV Cervical Cancer Screening in the United States: Are We Ready? Journal of the American Society of Cytopathology (2017) 7, 50e55
  9. Nelson, R. 2018. USPSTF Updated Recommendations for Cervical Cancer Screening. Medscape. Accessed Sep 2018: https://www.medscape.com/viewarticle/900985#vp_3
  10. 2018. Cervical Cancer Screening (PDQ) Health Professional Version. National Cancer Institute. Accessed Sep 2018: https://www.cancer.gov/types/cervical/hp/cervical-screening-pdq#link/_133_toc
  11. Sawaya, G. 2018. Cervical Cancer Screening—Moving from the Value of Evidence to the Evidence of Value. Journal of the American Medical Association (JAMA), Internal Medicine. doi:10.1001/jamainternmed.2018.4282
  12. Up To Date. 2018. Cervical cancer screening recommendations from United States professional organizations. Accessed Sep 2018: https://www.uptodate.com/contents/image?topicKey=7575&search=&source=outline_link&imageKey=PC%2F82951
  13. 2018. Cervical Cancer: Screening. Recommendation Summary. August 2018. Accessed Sep 2018: https://www.uspreventiveservicestaskforce.org/Page/Document/UpdateSummaryFinal/cervical-cancer-screening2
  14. USPSTF. 2018. Screening for Cervical Cancer, US Preventive Task Force Recommendation Statement. US Preventive Task Force. Journal of the American Medical Association (JAMA) 2018;320(7):674-686. Doi:10.1001/jama/2018.10897

 

ckanakisheadshot_small

–Constantine E. Kanakis MSc, MLS (ASCP)CM graduated from Loyola University Chicago with a BS in Molecular Biology and Bioethics and then Rush University with an MS in Medical Laboratory Science. He is currently a medical student actively involved in public health and laboratory medicine, conducting clinicals at Bronx-Care Hospital Center in New York City.

The Law of Unintended Consequences

Has the guidelines that encourage less Pap testing over the course of a woman’s life contributed to less women being screened for STDs such as Chlamydia? According to a study published this week, yes.  The cohort is rather small–3000 teenagers and young women–but even so, the results are striking. Before 2009, 30 percent of patients were screened for Chlamydia; after 2009, only 1 percent were.

While this is discouraging, the CDC found that teenagers are having less sex than they were twenty-five years ago, which some attribute to the HPV vaccine and its accompanying education.

Further reading on the relationship between HPV vaccines, Pap screening, and STD testing:

Chicago Tribune

NPR

Healthday

Swails

Kelly Swails, MT(ASCP), is a laboratory professional, recovering microbiologist, and web editor for Lab Medicine.

Next Steps in Cytotechnology

ASCP and ASC have put together a program to enable cytotechnologists to grow their skills and advance their careers. During this workshop, attendees will learn how to engage as a part of the clinical team and broaden their skill set to include fluorescent in-situ hybridization and interpretation of applied molecular tests.

AJCP_ACE

If you’d like to attend this program, you can register before April 30 to get a discount.

Viral DNA Testing, Cervical Cancer, and Cytology

An FDA panel recently recommended use of Roche’s Cobas HPV DNA test as the initial screening tool for cervical cancer instead of the ubiquitous Pap smear. The panel found that “A negative HPV result predicted a lower 3-year risk of ≥CIN3 than did a negative cytology result, suggesting that using HPV as the primary test is superior to cytology for cervical cancer screening.The low 3-year CIR for a negative HPV result also confirmed the safety of a 3-year interval for HPV primary screening and officer clinicians more confiedence in a negative HPV result than a negative cytology result.”

While this isn’t a final FDA guideline, it’s conceivable that clinicians could alter their practice based on these findings. Of course, this will affect the cytology and molecular diagnostics departments, as well. What do you think? Is HPV viral testing the way to go? Or should we stick with the test that’s been around for decades?