Case History
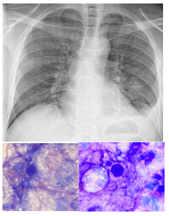
A 35 year old male presented to the emergency department with left-sided chest pain, a new cough and pain that gets worse with inspiration. The past medical history was significant for HIV, recurrent syphilis, rectal high-grade dysplasia, proctitis with possible rectal abscess with concomitant Herpes Simplex Viral infection and Cytomegalovirus colitis. This patient was not compliant with antiretroviral therapy (ART) and his CD4 count was <100 at admission. In the ED, a chest X-ray was performed which revealed bilateral patchy, peripheral mass-like opacities with ground glass halos (Figure 1). Routine respiratory cultures of sputum and bronchoalveolar lavage (BAL) revealed no significant observations; mainly respiratory flora was reported. However, hematology staining of BAL revealed multiple fungal elements consistent with Pneumocystis jirovecii organisms (Figure 2).

Discussion
Previously classified as a protozoa, Pneumocystis jirovecii (formerly known as Pneumocystis carinii) is currently considered a fungus based on nucleic acid and biochemical analysis. Stringer et al. proposed the change in nomenclature in early 2002, in honor of the Otto Jirovec, who was credited by some, as the original descriptor of the organism in human hosts.1 A few Pneumocystis species have been described in a wide variety of mammalian hosts but P. jirovecii is only capable of infecting humans and is not capable of infecting other animals.4 P. jirovecii infection mostly affects the immunocompromised patients and can lead to severe, life-threatening disease. HIV is one of the most commonly encountered underlying diseases, but individuals with cancer, transplant recipients and hosts receiving immunosuppressive medication can be at risk. The route of transmission is thought to be person to person through air transmission. Immunocompetent hosts can act as reservoirs of the organisms and spread it to the immunocompromised. The use of antiretroviral therapy and prophylactic medication on HIV patients has substantially decreased the incidence of PJ infection in this population.2, 3 Defects in cellular immunity, specifically CD4+ T-cell-mediated immunity is a predisposing factor for the development of severe Pneumocystis infection. The disease is usually a pneumonia that can have a slow progression or progress rapidly. Fever, nonproductive cough, tachypnea, and severe dyspnea with hypoxia are the most common symptoms.
Induced sputum, bronchoalveolar lavage fluid, or lung tissue are the commonly accepted specimens received in clinical laboratories for direct diagnosis of P. jirovecii. Microscopically, the life cycle of Pneumocystis consists of at least two different life cycle forms of Pneumocystis organisms: the trophic form and the cyst form. The trophic form generally measures ∼2 µm in greatest diameter and in contrast, the cyst is significantly larger, measuring ∼8–10 µm in greatest diameter. The rigid Pneumocystis cyst wall is formed of β-glucan, which warrants detection of systemic Pneumocystis infections using Fungitell testing.4 Trophic and cyst forms can be detected with Papanicolaou, Gram-Weigert, or Wright Giemsa, Gomori methenamine silver (GMS), or calcofluor white. The sensitivity of the interpretation of these stains depends upon the expertise of the observed to differentiate Pneumocystis from artifacts and other fungi such asand Histoplasma capsulatum. The use of monoclonal antibodies with Immunofluorescent antibody stains directed against human Pneumocystis epitopes, can enhance direct detection of this organism in clinical specimens.5
Because the sensitivity of special stains and the microscopy depends, in part at least, on the experience and skill of the microscopist, polymerase chain reaction (PCR) has become a newer and promising testing method for P.jirovecii DNA detection. It is recommended that PCR should be done in cases with only mild to moderate immunosuppression because these individuals may have a lower burden of the fungus and clinical and radiologic findings are less developed compared to severely immunosuppressed patients.6 Another advantage of PCR is the ability to quantify the amount of P. jirovecii in the specimen, which has been suggested to help distinguish individuals who may be colonized versus those with true P. jirovecii associated pneumonia.7
The drug of choice for prophylaxis against or treatment of P. jirovecii is trimethoprim-sulfamethoxazole. Prophylaxis may generally be started on HIV positive patients once the CD4+ is <200cells/microL, CD4% is <14%, and/or patients have a detectable viral load.8


-Rebecca Yee, PhD, D(ABMM), M(ASCP)CM is the Chief of Microbiology, Director of Clinical Microbiology and Molecular Microbiology Laboratory at the George Washington University Hospital. Her interests include bacteriology, antimicrobial resistance, and development of infectious disease diagnostics.
Interesting read!