Case History
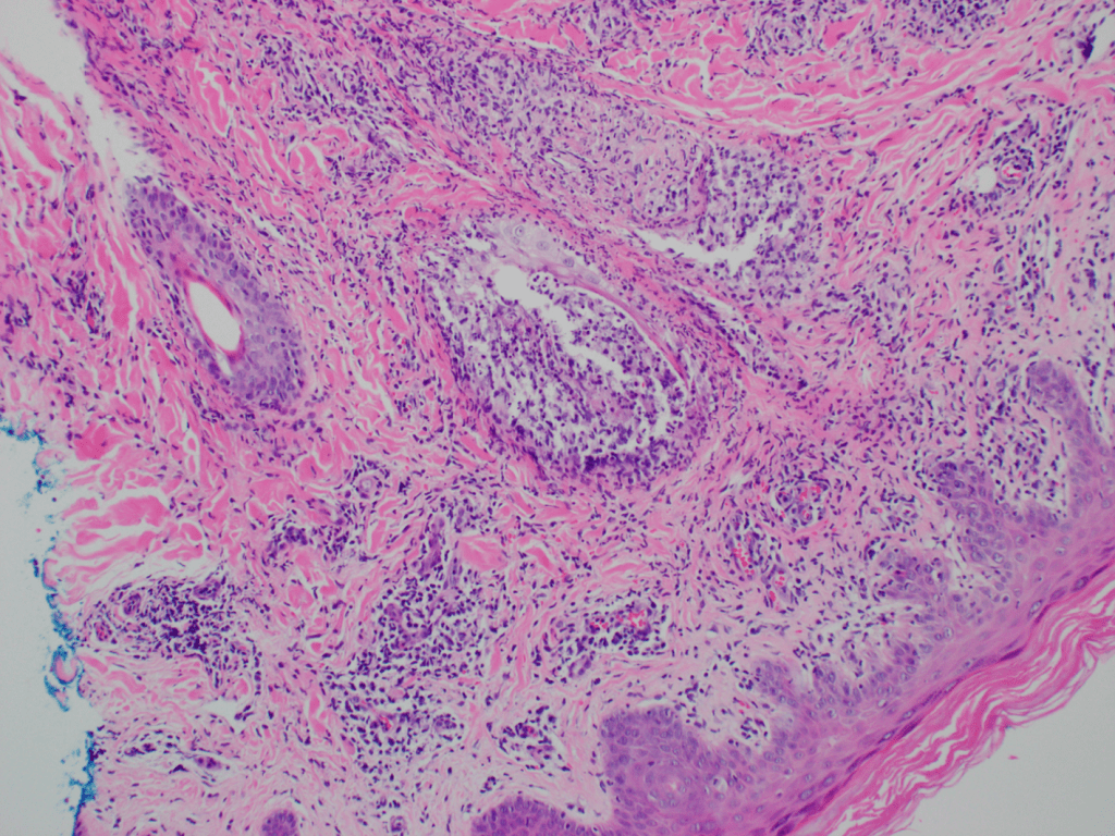
An adult patient with no significant past medical history presents with a tender right inguinal mass and rash over the right buttock measuring 5×7 cm. A skin punch biopsy was performed on the gluteal rash and sent to histopathology for analysis. Histology (Image 1) revealed an intradermal acantholytic vesicular dermatitis and associated folliculitis. Chronic inflammatory infiltrates surrounded neurovascular bundles as well as adnexal structures. Multinucleated Tzank cells were identified with the characteristic multinucleation, margination, and molding. Scattered eosinophilic Cowdry A inclusions were seen. Stains for bacteria and acid-fast bacilli (AFB) were not performed. A periodic acid-Schiff (PAS) stain (Image 2) demonstrated the absence of fungal elements.


Histopathology demonstrated “folliculitis suspicious for herpetic dermatitis.” PCR molecular testing for herpes simplex virus (HSV) and varicella zoster virus (VZV) were ordered on the punch biopsy. HSV was not detected; however, VZV was detected by PCR (Image 3, Image 4).


Discussion
Varicella zoster virus (VZV) is an enveloped double-stranded DNA virus belonging to the herpesviridae family.5 Transmission during primary infection occurs via inhalation of aerosolized respiratory secretions or lesional secretions, and to a lesser extent, via direct contact with lesional secretions. Transmission during secondary infection occurs mainly via physical contact with the secretions of herpetic lesions or the lesions themselves. The window for primary infection of transmissibility is 1-2 days before the onset of the rash lasting until either all lesions have crusted over or 24 hours have passed without the formation of new lesions, whereas secondary infections are only contagious during the presence of active lesions.6 Primary infection causes chicken pox, which is characterized by a vesicular rash, fever, and malaise. After primary infection, VZV resides in the dorsal root ganglia and trigeminal ganglia. VZV may reactivate, possibly as a result of stress or some other immunosuppressive state, as a painful vesicular rash known as shingles or herpes zoster. The rash is limited to the dermatome innervated by the ganglion from which the virus reactivated. Severe cases of shingles may result in meningitis, myelitis, as well as encephalitis, and can be fatal.1 Though the lesions of herpes zoster (secondary VZV infection) are infectious, they are significantly less so than those of varicella (primary VZV infection).6
The histology of VZV infection is characterized by intradermal and sub-epidermal vesicles with associated acantholysis, necrosis, and spongiosis. Tzanck cells demonstrate the characteristic “3 Ms” of multi-nucleation, marginated chromatin, and nuclear molding. The dermis is notable for perivascular, periadnexal, and perineural lymphocytic infiltrates. Folliculitis and syringitis may be present along with small vessel necrotizing vasculitis. Late stage lesions are notable for encrusted ulcers. Though there is significant histologic overlap between VZV infection as those caused by others in the herpes family, VZV histology tends to demonstrate a more substantial follicular involvement.2 Besides other herpes viruses, the differential diagnosis includes erythema multiforme, coxsackievirus, ecthyma contagiosum, pemphigus vulgaris and paravaccinia infection.3
While molecular methodologies are now the gold standard for diagnosis, a number of modalities including immunohistochemistry, immunofluorescence, in-situ hybridization, and serology can be used to aid in diagnosis.3 In the aforementioned case, diagnosis was made using a real time polymerase chain reaction (RT-PCR) assay (Simplexa VZV Direct Assay, Image 3) using previously extracted DNA. Forward and reverse primers target a well conserved portion of the VZV DNA polymerase. In between synthesis cycles, fluorescent probes anneal to the target sequence, separating the fluorophore from the quencher, thus generating a fluorescent signal. Amplification is measure by the cycle threshold (Ct), the number of PCR cycles needed for the fluorescent signal to exceed the background. An internal positive control (IC) is spiked in to assure negative results are not the result the presence of PCR inhibitors. To assess the quality of DNA present, a separate PCR was also performed on TP53, which amplifies if sufficiently high quality DNA is present, irrespective of the presence of VZV DNA (Image 4). A negative control (no template control, NTC) should be run to interrogate the presence of nucleic acid contamination.4
Treatment, if warranted, should be administered as soon as possible. Antiviral options include acyclovir, valacyclovir, or famcyclovir. Central nervous system, ocular, or renal VZV cases are considered emergencies and are typically treated with intravenous acyclovir.6 While resistance is rare, at least three mechanisms of resistance have been shown to endow VZV resistance to the aforementioned drugs: reduced or absent thymidine kinase, altered thymidine kinase activity leading to decreased phosphorylation of the drug, or decreased affinity of VZV DNA polymerase for acyclovir triphosphate.5, 8 If an infection with a resistant strain is identified or suspected, foscarnet is often used in place of acyclovir. Unlike the nucleoside analogs, this pyrophosphate analog does not rely on phosphorylation for the activation of its anti-VZV DNA polymerase activity.7 Historically plaque reduction assays were used, but this method is both labor intensive, low yield, and slow. Thus, molecular testing interrogating mutations in the DNA polymerase or thymidine kinase genes have increased in popularity.8
Two live attenuated vaccines are available, either in isolation or in combination with the measles mumps, and rubella vaccines (MMRV), in a 2 dose series to prevent primary infection. Since the VZV vaccine contains live virus, it should not be administered to pregnant women or the severely immunocompromised. Vaccine administration has been found to be 90% effective in preventing primary infection and 99% effective at preventing severe or complicated disease.7 Additionally, there is a recombinant vaccine consisting of the VZV glycophorin E protein in addition to an adjuvant that is used to prevent shingles. This formulation is recommended for adults over the age of 60 in prevention of secondary infections as well as to immunocompromised individuals at higher risk from exposure to the live attenuated vaccine.9
References
- Depledge DP, Sadaoka T, Ouwendijk WJD. Molecular Aspects of Varicella-Zoster Virus Latency. Viruses. 2018;10(7):349. Published 2018 Jun 28. doi:10.3390/v10070349
- Busam, K. J. Dermatopathology. 2nd Edition. Published 2014.
- Hall, B. Diagnostic pathology: Nonneoplastic Dermatopathology. 3rd Edition. Published 2021.
- Simplexa™ VZV Swab Direct REF MOL3655. 2021
- Sauerbrei A. Diagnosis, antiviral therapy, and prophylaxis of varicella-zoster virus infections. Eur J Clin Microbiol Infect Dis. 2016;35(5):723-734. doi:10.1007/s10096-016-2605-0
- https://www.cdc.gov/chickenpox/about/transmission.html
- https://www.cdc.gov/vaccines/vpd/varicella/hcp/index.html
- Piret J, Boivin G. Antiviral resistance in herpes simplex virus and varicella-zoster virus infections: diagnosis and management. Curr Opin Infect Dis. 2016;29(6):654-662. doi:10.1097/QCO.0000000000000288
- https://www.cdc.gov/vaccines/hcp/vis/vis-statements/shingles-recombinant.html

-Jeremy Adler, MD is a Molecular Genetic Pathology fellow at the University of Chicago Medicine and NorthShore University HealthSystem. He completed his MD at SUNY Stony Brook and his AP/CP residency at the Pennsylvania Hospital of the University of Pennsylvania Health System.

-Paige M.K. Larkin, PhD, D(ABMM), M(ASCP)CM is the Director of Molecular Microbiology and Associate Director of Clinical Microbiology at NorthShore University HealthSystem in Evanston, IL. Her interests include mycology, mycobacteriology, point-of-care testing, and molecular diagnostics, especially next generation sequencing.