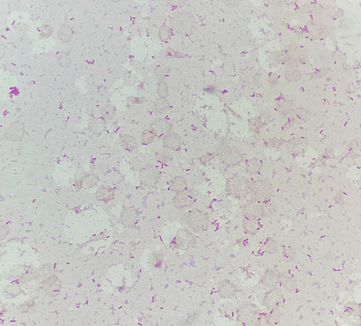
A 77 year old male with a past medical history of end stage renal disease (ESRD) on hemodialysis, type 2 diabetes, coronary and peripheral artery disease, and squamous cell carcinoma of the lung on current chemotherapy/radiation was admitted to our hospital from his outpatient hematology oncology clinic for acute hypoxia. Due to an episode of decreased responsiveness and a potential stroke, Head computed tomography (CT) and computed tomography angiography (CTA) were performed. Electroencephalography showed diffuse slowing, suggestive of encephalopathy. Three days after admission, he became hypotensive and febrile. Pulmonology/critical care was consulted; blood and respiratory samples collected for cultures. The blood culture grew gram negative rods in the aerobic bottles (Images 1-3) after overnight incubation. The patient was initially on cefepime and switched to meropenem 500 mg IV daily.
The following day, the blood culture isolate was identified as Elizabethkingia anophelis. The isolate was resistant to both of the patient’s prior inpatient antibiotics, cefepime and meropenem. Additionally, the isolate was resistant to first, second, and third generations of cephalosporins, aztreonam, tetracyclines and tobramycin. However, it was susceptible to amikacin, ciprofloxacin, gentamicin, and trimethoprim/sulfamethoxazole. Meropenem was discontinued and replaced with ciprofloxacin 400 mg IV daily. Infectious disease was consulted; at this time the patient was displaying nuchal rigidity and extreme encephalopathy. Increased dosing of Ciprofloxacin for better central nervous system penetration, in combination with trimethoprim/sulfamethoxazole 2.5mg/kg IV q8h, rifampin 600 mg IV daily was recommended and a lumbar puncture to be performed once the patient was stable. Sadly, due to underlying severe comorbidities, along with worsening CNS responses, the patient expired on day 9.



Discussion
The genus Elizabethkingia was named after Elizabeth O. King, a microbiologist at the Center for Disease Control (CDC) and Prevention, who discovered many medically important bacteria in the late 1940s to early 1960s. This included describing Elizabethkingia meningoseptica (formerly Chryseobacterium meningosepticum) in 1959. Elizabethkingia and Kingella genera, and the species Kingella kingae are also named in her honor.1 Elizabethkingia is a gram negative, obligate aerobic bacillus. It was classified under the families Flavobacteriaceae and Chryseobacterium, but was reclassified as Elizabethkingia in 2005.2 E. meningoseptica, the most frequently isolated Elizabethkingia species, has been implicated in cases of neonatal sepsis, meningitis, and nosocomial pneumonia.3
On the other hand, E. anophelis was recently characterized in 2011 and was initially thought to be underrepresented likely due to the genotypic and phenotypic similarity to E. meningoseptica.4,5,6 The species name Elizabethkingia anophelis originated from the anopheles mosquito as it has been isolated from the midgut of Anopheles gambiae mosquitoes.4 The role of mosquitos in maintenance and transmission of Elizabethkingia anophelis is unclear.4,6 Oxidase and catalase positive E. anophelis, (Fig 1) grows well on blood and chocolate agar plates (Fig 2 and 3) as smooth and slight-yellowish colonies although it does not grow on MacConkey agar.7
Beginning late 2015, an increased number of Elizabethkingia infections were identified in Southeastern Wisconsin. Between November 2015 to May 2016, 63 cases of E. anophelis were reported to the Wisconsin Division of Public Health. Cases spread across Illinois and Michigan as well, making it the largest E. anophelis outbreak described to date. A case series published from Froedtert Health System hospitals described their experience with E. anopheles.8 This was a retrospective case series of all consecutive patients admitted to Froedtert Health System hospitals with positive cultures of any site for Elizabethkingia, Flavobacterium, and Chryseobacterium from November 2015 to June 2016. In this time period, 11 patients were identified with cultures positive for E. anophelis. All patients had positive blood cultures at the time of hospital admission. E. anophelis was identified in both sterile and nonsterile body fluids. All 11 patients had at least one major comorbidity, including cancer, COPD, diabetes, ESRD requiring hemodialysis, and alcohol abuse. Two patients died within 30 days of a positive E. anopheles culture (attributable mortality rate, 2/11 = 18.2%).5, 8, 9
Interestingly, vertical transmission of E. anopheles causing neonatal meningitis has been reported.6 Molecular evidence suggested vertical transmission from a mother with chorioamnionitis, but a mechanism of colonization for the mother could not be found and environmental contamination was not also found.6,7 On the other hand, taps and aerators contaminated with E. anophelis in an intensive care unit has been reported.10 E. anophelis should be treated as a true pathogen, particularly in patients with multiple comorbidities.8 Isolation in sterile fluid should never be considered a contaminant.
Since Elizabethkingia is a non-glucose, non-lactose-fermenter, the MIC breakpoint of E. anophelis is reported based on those of non-Enterobacterales Table 2B-5 of CLSI (Clinical Laboratory Standard Institute) M100 guidelines. Elizabethkingia species, including E. anophelis, are intrinsically resistant to several antibiotics and produce elevated MIC on in vitro susceptibility tests. A number of species also harbor beta-lactamase/metallo beta-lactamase (MBL) genes. Empirical treatment should include piperacillin/tazobactam plus quinolone, rifampin, or minocycline. Vancomycin has been used in severe infections, especially meningitis. The best duration of therapy has not been evaluated by clinical trials8.
In summary, our patient acquired this infection in the setting of multiple chronic comorbidities and was immunocompromised due to active malignancy and recent chemotherapy. He has a similar clinical profile to the other patients in the above-mentioned study. One notable difference is that our patient’s isolate was resistant to cefepime, where the isolates from this outbreak were susceptible. After discussion with our infectious disease colleagues regarding this case, we agreed his cause of death was likely multifactorial, though this infection may have been a significant contributing factor.
References
- KING EO. Studies on a group of previously unclassified bacteria associated with meningitis in infants. Am J Clin Pathol. 1959 Mar;31(3):241-7. doi: 10.1093/ajcp/31.3.241. PMID: 13637033.
- Kim KK, Kim MK, Lim JH, Park HY, Lee ST. Transfer of Chryseobacterium meningosepticum and Chryseobacterium miricola to Elizabethkingia gen. nov. as Elizabethkingia meningoseptica comb. nov. and Elizabethkingia miricola comb. nov. Int J Syst Evol Microbiol. 2005 May;55(Pt 3):1287-1293. doi: 10.1099/ijs.0.63541-0. PMID: 15879269.
- Jean SS, Lee WS, Chen FL, et al. Elizabethkingia meningoseptica: an important emerging pathogen causing healthcare-associated infections. J Hosp Infect 2014; 86:244–9.
- Kämpfer P, Matthews H, Glaeser SP et al. . Elizabethkingia anophelis sp. nov., isolated from the midgut of the mosquito Anopheles gambiae. Int J Syst Evol Microbiol 2011; 61(Pt 11):2670–5. [PubMed] [Google Scholar]
- Perrin A, Larsonneur E, Nicholson AC, et al. Evolutionary dynamics and genomic features of the Elizabethkingia anophelis 2015 to 2016 Wisconsin outbreak strain. Nat Commun 2017; 8:15483.
- Lau, Susanna K.P.; Wu, Alan K.L.; Teng, Jade L.L.; Tse, Herman; Curreem, Shirly O.T.; Tsui, Stephen K.W.; et al. (February 2015). “Evidence for Elizabethkingia anophelis Transmission from Mother to Infant, Hong Kong”. Emerging Infectious Diseases. 21 (2): 232–241. doi:10.3201/eid2102.140623. PMC4313635. PMID25625669
- Koneman’s Color Atlas and Textbook of Diagnostic Microbiology. 7th Edition. 2016.
- Castro, C. E., Johnson, C., Williams, M., Vanderslik, A., Graham, M. B., Letzer, D., . . . Munoz-Price, L. S. (2017). Elizabethkingia anophelis: Clinical Experience of an Academic Health System in Southeastern Wisconsin. Open Forum Infectious Diseases, 4(4). doi:10.1093/ofid/ofx251
- Wisconsin Department of Health Services; Elizabethkingia 2017. Available at: https://www.dhs.wisconsin.gov/disease/elizabethkingia.htm. Accessed 9 January 2017. [Google Scholar]
- Balm MN, Salmon S, Jureen R, Teo C, Mahdi R, Seetoh T, Teo JT, Lin RT, Fisher DA. Bad design, bad practices, bad bugs: frustrations in controlling an outbreak of Elizabethkingia meningoseptica in intensive care units. J Hosp Infect. 2013 Oct;85(2):134-40. doi: 10.1016/j.jhin.2013.05.012. Epub 2013 Aug 17. PMID: 23958153.

-J. Stephen Stalls, MD is a PGY-II pathology resident at the East Carolina University Department of Pathology and Laboratory Medicine. He plans to pursue hematopathology and molecular pathology fellowships, but also greatly enjoys his time in the microbiology lab. Outside of work, he enjoys playing the drums and going to concerts.

-Phyu Thwe, Ph.D., D(ABMM), MLS (ASCP)CM is a Technical Director at Vidant Medical Center Clinical Microbiology Laboratory. She completed a Clinical and Public Health Microbiology Fellowship through a CPEP-accredited program at the University of Texas Medical Branch (UTMB) in Galveston, Texas. She is interested in extrapulmonary tuberculosis and developing diagnostic algorithms.