Case History
An 8-year-old female presented to an outside hospital with appendicitis-like clinical symptoms and underwent a laparoscopic appendectomy. Gross examination of the appendix (7.2 cm in length x 0.5 cm in diameter) wall was unremarkable and the lumen contained a minimal amount of hemorrhage. The specimen was entirely submitted for microscopic evaluation.

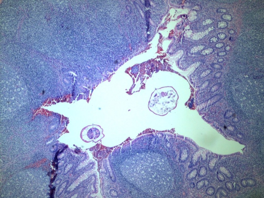
Image 1. Cross section of appendix containing two intra-luminal helminths (H & E stain).

Image 2. Cross section of female Enterobius vermicularis containing eggs (H & E stain).

Image 3. Cross section of male Enterobius vermicularis (H & E stain).
Discussion
Enterobius vermicularis (human pinworm) is an intestinal nematode (roundworm) with a worldwide distribution that is most prevalent among school-age children. Cross sections of the nonsegmented, cylindrical worms demonstrate a well-developed digestive tract, reproductive system, and two lateral alae (Images 1-3). E. vermicularis has two sexes and Image 1 demonstrates that the male is smaller than the female. Humans are directly infected upon ingestion of E. vermicularis eggs (fecal-oral route of transmission). The eggs then hatch and immature worms undergo maturation within the human gastrointestinal tract (Image 1). Eggs are shed in stool and the typical E. vermicularis eggs (Image 2) are thick-shelled with one flattened aspect, described as “D-shaped”. Patients with the infection are commonly asymptomatic or may complain of perianal pruritus. Rarely, patients present with abdominal pain secondary to E. vermicularis-associated acute appendicitis (1).
Reference
- Arca MJ, Gates RL, Groner JI, Hammond S, Caniano DA. 2004. Clinical manifestations of appendiceal pinworms in children: an institutional experience and a review of the literature. Pediatr Surg Int 20(5):372-5.
-Adina Bodolan, MD is a 1st year anatomic and clinical pathology resident at the University of Vermont Medical Center.

-Christi Wojewoda, MD, is the Director of Clinical Microbiology at the University of Vermont Medical Center and an Associate Professor at the University of Vermont.